Home About Us Contact Us

Official Journals By StatPerson Publication

Table of Content Volume 12 Issue 2 - November 2019

Role of diffusion weighted imaging (DWI) in detection and characterization of cerebral stroke

 

M T Makada1*, N U Bahri2

 

1Associate Professor, 2Professor and Head, Department of Radiology, M P Shah Government Medical College and G G Government Hospital, Jamnagar, Gujarat- 361008, INDIA.

Email: drmakada_2006@yahoo.co.in

 

Abstract               Background: DW MRI is a relatively recent imaging technique in which water self-diffusion is a source of contrast on MR images. 1Because cytotoxic edema occurs in just a few minutes of a critical decrease in cerebral blood flow, DWI may show most acute infarctions. This is particularly useful when thrombolytic therapy, which can only be used within a short window of opportunity, is considered. Also, DWI identifies acute lesions in patients with multiple chronic ischemic lesions. It also identifies the new extension of the previous ischemic lesions. Methodology: 50 patients with clinical signs and symptoms of stroke who underwent conventional MR imaging of brain were randomly considered for this study. These patients were prospectively subjected for DWI along with conventional MRI study. DW images were evaluated for the calculation of ADC values and ADC maps. Result: The age range of patients in this group varied from 5 years to 82 years; majority of patients being in 51 to 70 years age group. 28 patients were male and 22 were female. Of the 50 patients in this group, the MR study was performed in time interval ranging from within 6 hours after the initial symptom onset upto 4 to 7 days time interval between onset of symptoms and study. DWI imaging shows very high sensitivity compared to T2 weighted imaging particularly imaging within first 12 hours of symptoms onset. After 12 hours DWI and T2 weighted imaging show almost equal sensitivity for lesion detection.

Key Word: Diffusion Weighted Imaging, Stroke, MRI.

 

 

INTRODUCTION

In Diffusion Weighted Imaging (DWI) molecular water proton diffusion process occurring on a micron scale is imaged noninvasively and accurately without use of any exogenous contrast2. This measurement of water self-diffusion properties in brain provides unique biological and clinically relevant information about the tissue composition, the physical structure of its constituents, tissue microstructure and architectural organization. A value known as Apparent Diffusion Coefficient (ADC)3 is determined by diffusion weighting of the imaging sequence. This value is dependent on a number of variables including time, orientation of the imaging plane, the tissue being imaged and the energy state of the imaged tissue. Signal intensity on a gray scale is directly related to ADC values on DWI. Brain tissue with low ADC values appears relatively hyper intense, whereas regions with higher ADC values appear hypo intense. To acquire DWI studies in patients, an ultrafast technique such as echo-planar imaging is preferable because it essentially eliminates movement artifact and drastically reduces the managing time. Because cytotoxic edema occurs in just a few minutes of a critical decrease in cerebral blood flow, DWI may show most acute infarctions. This is particularly useful when thrombolytic therapy, which can only be used within a short window of opportunity, is considered During the first 24 hours after an ischemic stroke, proton density weighted and T2W MRI have 20% to 30% false-negative results4,5,6. This percentage increases to 30% to 50% or more during the first 3 to 6 hours after stroke7. Also, DWI identifies acute lesions in patients with multiple chronic ischemic lesions. It also identifies the new extension of the previous ischemic lesions. In newborn, within 1 day of birth, acute ischemic lesions not seen on routine CT or MR images are identified on DW MR images8,9. When lesions are identified on conventional images, lesion conspicuity is increased and lesion extent is seen to be larger on DW MR images. The purpose of this study was to evaluate the role of Diffusion Weighted Imaging (DWI) in diagnosis of stroke patients and to evaluate the utility of ADC maps in characterizing these lesions and to compare it with other MRI brain sequences

 

MATERIALS AND METHOD

 The present study was carried out in 50 patients at the department of radio-diagnosis in M P Shah Govt. Medical College and G G Hospital Jamnagar.50 patients with clinical signs and symptoms of stroke who underwent conventional MR imaging of brain considered for this study. If a patient is not diagnosed as a stroke patient after other clinical evaluation and investigations, such case is excluded. Patients in whom MR was contra-indicated (e.g. Cardiac Pacemakers, Cochlear implants, Aneurysm Clips, Orthopedic implants, Metallic foreign body in eye) are also excluded. This study has been performed using a Siemens Magnetom Essenza 1.5 Tesla MR machine using head coil. These patients were prospectively subjected for DWI along with conventional MRI study. Parameters for diffusion weighted sequence: Slices with 30% distance factor, Slice thickness 5 mm, TR - 4100ms, TE - 126ms,FOV Read - 230 mm, FOV Phase - 100%,Voxel size - 1.8 x 1.8 x 5.0 mm,B-value - 0, 500, 1000,Echo spacing - 1.03,Bandwidth –1506, EPI factor – 128.MR imaging of the brain was performed using a tailor made protocol. Basic imaging protocol consisted of fast spin echo T2 WI in axial and sagittal planes and DW, T1 WI in axial plane and FLAIR images in coronal plane. DW images were evaluated for the calculation of ADC values and ADC maps. The lesions were characterized based on their intensity into hypo intense, isointense and hyper intense on DW images and ADC maps. In all cases the discharge summaries were analyzed for the final diagnosis.


 

RESULTS AND DISCUSSION

The age range of patients in this group varied from 5 years to 82 years; majority of patients being in 51 to 70 years age group(58% cases). 28(56%) patients were male and 22(44%) patients were female. Of the 50 patients in this group, the MR study was performed within 6 hours after the initial symptom onset in 8 patients, within 6 to 12 hours in 11 patients, 12 to 24 hours in 12 patients, 1 to 3 days in 14 patients and 4 to 7 days in 5 patients.

Table 1: Patients of ischemic stroke classified based on duration of symptoms

Duration of

symptoms

No. of

Patients

(n=42)

Lesion detected

on DW MR

Sensitivity of DW MR (%)

Lesion detected

On T2W MR

Sensitivity of

T2W MR (%)

0-6 hrs.

08

07

87.5

0

0

6-12 hrs.

11

11

100

08

72.73

12-24 hrs.

12

12

100

12

100

1-3 day

14

14

100

14

100

4-7 days

05

05

100

05

100

 

1

Graph 1: Sensitivity of T2WI and DWI in detection of acute ischemic stroke based on time Duration


10 patients showed hyperintensity only on DW images with corresponding hypointensity on ADC maps. 39 patients showed corresponding lesions in both T2W and DW images. In 16 patients with multiple infarcts, the acute lesions were prominent on DW images. 1 patient of hyperacute infarct who presented within two and a half hours didn’t show any acute lesion on any sequence but clinically was diagnosed as acute ischemic stroke.

 

Table2: Ischemic strokes detected by DW MRI with T2W MRI techniques

Diagnostic technique

No. of patients

Lesions seen only on Diffusion Weighted Imaging (DWI)

10(20%)

Lesions seen both on DWI and T2W images (T2WI)

39(78%)

No acute lesions detected on either DWI or T2WI

1(2%)

Total

50(100%)

 

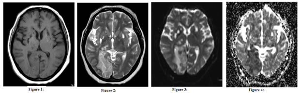
2

Figure 1: AXIAL T 1WI; Figure 2: AXIAL T2 WI; Figure 3: AXAL DWI; Figure 4: AXIAL ADC MAP

 


Changes Of Acute Infarct In Right Mca Territory With Changes Of Old Infarct In Bilateral Basal Ganglia (Fig 1 to 4). Of the 10 patients, who showed hyper intensity on DW images, 7 of them presented within 6 hours and 3 within 6 to 12 hours. Lesions were diagnosed on DW MR with 87.5% sensitivity but could not be detected on T2W MR when duration of symptoms was within 6 hours. Lesions were diagnosed on DW MR with sensitivity of 100% and on T2W MR with sensitivity of 72.73% when duration of symptoms was 6 to 12 hours. However, T2W MR Images were equally sensitive (100% sensitivity) as DW MR as the duration of symptoms increased beyond 12 hours. DW MRI is particularly sensitive for detection of acute ischemic stroke. A total of 50 patients having infarcts were studied in this group. The sensitivity of DW imaging was 87.5% within initial 6 hours and 100% above 6 hours. The sensitivity of T2W imaging was 0% and 72.73% within the initial 6 hours and 6 to 12 hours respectively, reaching 100% above 12 hours. The results of the present study correlated with the study done by Gonzalez RG et al10

CONCLUSION

The DW MR is a very useful sequence in the initial 6 hours of stroke like symptoms. It can detect hyper acute infarcts with 85-90% sensitivity (87.5% in present study), where conventional MR sequences may fail to do so. In patients with multiple infarcts DW MR can identify the acute lesions. This sequence is particularly useful in clinical practice when thrombolytic therapy to be planned for which early detection of ischemic infarct is very crucial. When combined with other standard brain MRI sequences,we can also rule out hemorrhage within brain parenchyma, which is essential before planning thrombolysis. Reduction in the ADC also occurs in other conditions such as global ischemia, hypoglycemia, and status epilepticus; it always should be evaluated in relation to the clinical condition of the patient.

 

REFERENCES

    • Le Bihan D, Breton E, Lallemand D, Aubin M L, Vignaud J, Laval-Jeantet M. Separation of diffusion and perfusion in intravoxel incoherent motion MR imaging. Radiology 1988;168:497-505
    • Roland Bammer et al., Basic principles of diffusion-weighted imaging, European journal of Radiology, volume 45, issue 3, March 2003
    • Tsuruda et al, Diffusion-Weighted MR Imaging of the Brain: Value of Differentiating Between Extraaxial Cysts and Epidermoid Tumors, AJR:155, November 1990NCES:
    • Yuh W. T. C., Crain M.R., Loes D.J, Greene G. M., Rylas T. J. and Sato Y. MR imaging of cerebral ischemia: findings in the first 24 hours. AJNR. 1991; 12, 621-629.
    • Bryan R. N., Levy L. M., Whitlow W. D., Killian J. M., Preziosi T. J. and Rosario J. A. Diagnosis of acute cerebral infarction. AJNR. 1991; 12, 611-620.
    • Kertesz A., Black S. E., Nicholson L. and Carr T. The sensitivity and specificity of MRI in stroke. Neurology. 1987; 1580-1585.
    • Bozzao L., Bastianello S., Fantozzi L., Aneloni U., Argentino C. and Fieschi C. Correlation of angiographic and sequential Ct findings in patients with evolving cerebral infarction. AJNR. 1989; 10, 1215-1222.
    • Cowan FM, Pennock JM, Hanrahan JD, Manji KP, Edwards AD. Early detection of cerebral infarction and hypoxic ischemic encephalopathy in neonates using diffusion-weighted magnetic resonance imaging. Neuropediatrics 1994; 25:172-175.
    • Phillips MD, Zimmerman RA. Diffusion imaging in pediatric hypoxic ischemia injury. Neuroimaging Clin N Am 1999; 9:41-52.
    • Gonzalez RG et al. Diffusion weighted MR imaging: Diagnostic accuracy in patients imaged within 6 hours of stroke symptom onset. J Radiology 1997; 203:155-62