Home About Us Contact Us

 

Table of Content Volume 16 Issue 3 - December 2020

MRI features of spinal tuberculosis

 

Akanksha Rao Bhashyakarla1, Suneeth Jogi2*, Chaitanya Kishore Gopisetty3, Pavani Tummala4

 

1Senior Resident, 2Assistant Professor, Department of Radiodiagnosis, ESIC Medical College, Hyderabad, INDIA.

3Senior Resident, Department of Orthopedics, Mamatha Academy of Medical Sciences, Hyderabad, INDIA.

4Consultant, Department of Radiodiagnosis, Medicover Hospital, Hyderabad, INDIA.

Email: suneethjogi@gmail.com

 

Abstract              Background: Tuberculosis, also called as Pott’s disease is one of the most common diseases prevalent in India which involves multiple organs with spine being the most frequent site of bony involvement. Conventional radiography fails to pick up tubercular pathology in early stage and hence, MRI is important in diagnosis of spinal infections and its sequelae. Aims and Objective: 1)To illustrate, examine and assess the role of MRI in the diagnosis of spinal tuberculosis, more importantly its early detection.2)To correlate the MRI findings with patient characteristics like age, sex, clinical presentation etc. 3)To demonstrate the role of MRI in the planning of surgical approach to tuberculous spondylitis. Materials and Methods: The present study was conducted in Department of Radiodiagnosis between December 2017 and June 2019. Study included patients who presented with strong clinical suspicion of spinal tuberculosis with or without neurological deficit at spinal level. Results: 55 patients with tuberculous spondylitis in total were enrolled for this study. Results were analysed and discussed. Conclusion: Tubercular spondylitis is a serious clinical problem because concomitant neurologic deficit frequently occurs. MRI recognizes marrow infiltration, helps in evaluation of extradural disease and status of spinal cord, and has high contrast resolution in delineating para vertebral extension. This has made MRI the mainstay in not only in the early diagnosis of spinal infections but also in the effective management of their sequelae. Additionally, there is a definitive role of MRI findings and their correlation with neurological recovery.

Key Words: Pott’s spine, Epidural abcess, Tuberculous spondylitis, Vertebral end plate involvement, MRI- surgical approach

 

INTRODUCTION

Tuberculosis is one of the most common diseases prevalent in India which involves multiple organs. It is also called Pott's disease, named after Sir Percival Pott (1714 - 1788), a surgeon at St. Bartholomew's Hospital, London, who first described this in 17791. Tuberculosis spreads to extra-pulmonary sites mainly via the haematogenous route2. The main presenting symptoms are fever, night sweats, anorexia, weight loss and cough3. The common sites to get involved in extra-pulmonary TB are the musculoskeletal system, genitourinary tract, gastrointestinal tract as well as the lymphatic system1. Skeletal system is involved in 1% - 3% of patients with tuberculosis, spine being the most frequent of sites of osseous involvement to occur in TB, accounting for approximately 50% of skeletal tuberculosis4. Lower thoracic and upper lumbar vertebrae are more often involved5 with posterior elements involved in about 50% of the presenting cases. Infection of one or more components of the spine which include, namely the vertebra, intervertebral discs, para-spinal soft tissues and the epidural space by Mycobacterium tuberculosis is called Tuberculous spondylitis6. The salient features of tubercular spondylitis can be described as progressive bone destruction, vertebral collapse leading to kyphosis, formation of cold abscess, narrowing of the spinal canal resulting in cord compression and later neurologic deficits7. Many pathologies mimick Pott’s spine and proper clinical details are necessary before its radiological diagnosis. In India, where the disease is endemic, histo-pathological confirmation is not carried out that routinely, due to the lack of awareness and consciousness amongst the Indian population. Diagnosing TB on radiological grounds is a challenge for a radiologist due to its numerous mimicking decoys. Ideally, imaging should sequentially be able to exclude causes other than infection, the location of the pathology and extent of involvement and destruction, to be able to guide biopsy or draining procedures, appropriate means of therapy (medical/surgical) and assessment of the imaging response to the given therapy2. The first investigation is always conventional radiography as it is affordable and easily available. However, conventional radiography fails to pick up tubercular pathology until 30 - 40% destruction of the involved spine has occured3. MRI is the investigation of choice in diagnosis of spinal infections and its sequelae. The significant factors for it being this useful are high contrast resolution of soft tissue and bone, multi-planar imaging, detecting marrow infiltration, assessment of extra-dural disease upon differences in the intensities of normal and diseased tissues1. MRI offers great benefit by diagnosing the disease four to six months earlier than by conventional methods6. Radiologists play a very crucial role in diagnosing and further laying down the foundations to proper management of spinal tuberculosis by catching it red handed in its naive stages before there emerge any late complications such as kyphosis, vertebral collapse, spinal cord compression, gibbus spine and other paraplegic manifestations or abscess formation1,6.

 

AIMS AND OBJECTIVES OF THE STUDY

  1. To illustrate, examine and assess the role of MRI in the diagnosis of spinal tuberculosis, more importantly its early diagnosis.
  2. To correlate the MRI findings with patient characteristics like age, sex, clinical presentation etc.
  3. To demonstrate the role of MRI in the planning of surgical approach to tuberculous spondylitis.

 

METHODOLOGY

The present study was conducted in Department of Radiodiagnosis between December 2017 and June 2019. Study included 55 patients who presented with strong clinical suspicion of spinal tuberculosis with or without neurological deficit at spinal level. The cases who attended OPD or where admitted in Department of Orthopaedics were selected and enrolled in the study after taking the informed consent. The patients having the following criteria were excluded from the study- trauma patients, uncooperative patients, patients with metallic implants, patients with pacemaker / cochlear implant in-situ, patients with claustrophobia/ any other psychiatric abnormality. MRI was performed on a Philips Ingenia 1.5 Tesla MRI machine in the Department of Radiodiagnosis at ESIC Medical College, Hyderabad. Imaging was done with patient in supine position with quiet breathing obtaining sagittal T1 and T2 weighted fast spin echo images, axial T1 and T2 weighted fast spin echo images, coronal fat suppressed short tau inversion recovery (STIR) images. Coils used were Circularly Polarized Spine Array Coil (for whole, dorsal, and lumbar spine) and Circularly Polarized Head + Spine Array Coil (for cervical spine evaluation). The first imaging investigation performed was the multiplanar gradient echo localizer in sagittal, axial and coronal planes. These images were used to plan the subsequent images. Next, Sagittal and axial T1W fast spin-echo (FSE) with low TR/TE were taken. These are characterized by short TR of 400 to 500 msec, short TE of 12-20 msec and FOV was 300 to 340 mm. This was followed by Sagittal and axial T2W fast spin-echo (FSE) with long TR/TE. TR of 3000- 5000 msec and TE of 120 msec were employed here. Next, Fat suppressed coronal T2 images (STIR-short tau inversion recovery) with TR 3500 to 5000, TE 80 and IR Delay of 155msec were taken. Finally, for sagittal images, the entire spine was covered in about 11 slices. Slice thickness for all planes was 4mm with spacing of 0.3mm. The images were stored and analyzed. All measurements were made with the proprietary measuring tools provided in the workstation software. The observations were tabulated and conclusions drawn based on the results.

 

RESULTS

Out of a total of 55 patients, 33 (60%) were male and 22 (40%) were female showing a slight male preponderance for spinal tuberculosis. Mean age of the study group was 41.7 years (Range 14-68). Most of the patients were in the age group of 20-40 (50%). 20 patients (36.36%) had involvement of two vertebrae. The average number of vertebra affected was 2.38. (Table 1) 82.5% patients had end plate and 74.5 % had disc involvement. 24.5% patients had posterior elements involved. Pre and paravertebral soft tissue involvement was seen in 71.45% and 61.5% respectively in the form of granulation tissue and abscess. (Table 2 and Figure 1) Most of the lesions were hypointense (60%) on T1 weighted images and hyperintense (53.34%) on T2 weighted images. No lesion was isointense on T2 images. (Table 3 and Figure 4) 80% of the patients had epidural abscess (Figure 5). Mean thickness was 4.5 mm; SD 2.18 mm. 40 % had an abscess of thickness 4.1- 6 mm. Maximum thickness measured 10 mm, was seen in 1 patient (3.33%) and minimum thickness 2 mm was seen in 1 patient(3.33%). Thecal compression was seen in 83.33 % and 36.67 % showed compression of cord. Loss of CSF pockets was seen in 58.5%. Cord edema as shown by increased T2 signal was present in 21% patients. Thecal compression was most common followed by loss of CSF column, cord compression and edema. There were 14 cases (25.5%) which showed involvement of the psoas muscles either unilaterally or bilaterally (Figure 6).


 

Table 1: Distribution of spinal tuberculosis in vertebrae

Vertebral level

Number of vertebrae

Percentage

CVJ

0

0

Cervical (C3-C7)

4

3.05

Thoracic (T1-T12)

70

53.45

Lumbar (L1-L5)

55

41.98

Sacral

2

1.52

Coccyx

0

0

Total

131

100

 

Table 2: Osseous features confirming to tuberculous spondylitis as seen on MRI

 

A: SAGITTAL T1W; B: SAGITTAL T2W C: SAGITTAL STIR;

D: AXIAL T1W; E: AXIAL T2W

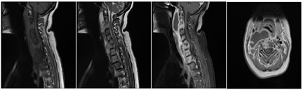
Figure 1: 28 year male presenting with fever and mid backache. Kyphotic deformity due to collapse of T4 and T5 vertebral bodies with near complete obliteration of T4-T5 intervening disc space (A, B, C). Prevertebral and paravertebral abscess seen extending into epidural space. Significant cord compression noted (D, E)

 

 

 

 

 

 

Table 3: Signal Characteristics seen on MRI in the study group

Nature of Signal

T1 weighted

Percentage (%)

T2 weighted

Percentage (%)

Hypointense

18

60

4

13.33

Isointense

2

6.67

0

0

Hyperintense

6

20

16

53.34

Mixed intensity

4

13.33

10

33.33

Total

30

100

30

100

 

A: SAGITTAL T1W; B: SAGITTAL T2W; C: SAGITTAL STIR

D: AXIAL T1W; E: AXIAL T2W

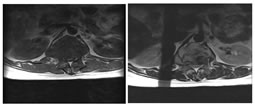
Figure 4: 32 year old male presenting with back ache for 2 months with bilateral lower limb weakness. Kyphotic deformity at thoracolumbar junction due to collapse of T12 and L1 vertebral bodies with near complete obliteration of the intervertebral disc space (A,B,C). Intervertebral discal collection seen with collections also noted in bilateral paravertebral regions, psoas muscles and epidural space with compression over the distal cord (D,E)

 

A; SAGITTAL T1W; B: SAGITTAL T2W; C: CORONAL T1 CONTRAST FAT SAT

D: SAGITTAL T1 CONTRAST FAT SAT; E: AXIAL T1CONTRAST FAT SAT

Figure 5: 47 year old male k/c/o TB presenting with low grade backache for 2 months. T12 vertebra collapse with partial destruction of anterior aspects of the T9- T11 and L1 vertebrae (A,B). Kyphotic deformity is seen at T12 level. Large abcess seen in prevertebral, intravertebral, paraspinal and epidural region seen extending from the T9 -L1 level also invloving left psoas muscle. Spinal canal stenosis and cord compression seen.

 

A: SAGITTAL T1W; B: SAGITTAL T2W; C: SAGITTAL T2W; DAXIAL T2W

Figure 6: 33 yr old male presenting with back pain with tingling and Numbness in both lower limbs. Collapse of the L1 and L2 vertebral bodies (A,B,C) seen with adjacent paraspinal and B/L psoas abscesses (D). The debri is seen causing spinal stenosis and cauda equina compression.

 

A: SAGITTAL T1W; BSAGITTAL T2W; C: SAGITTAL  T1 CONTRAST FAT SAT; D: AXIAL T1 CONTRAST

Figure 7: 36 year old female patient presented with neck pain and right hand numbness. Near complete collapse of C2, C% and C6 vertebral bodies seen. Significant marrow edema seen (A,B,C). Two paravertebral abscesses seen. First one is seen to the right of C2 with tiny epidural component (D); Second one is larger and multiloculated in nature with pre and paravertebral abscess more to the right side. Gibbus deformity noted at C6-C7 level. Epidural extension is seen through right C6-C7 neural foramen (skip lesions).

 

A: SAGITTAL T1W; B: SAGITTAL T2W

 

C: SAGITTAL  T1 CONTRAST FAT SAT; D: CORONAL T1 CONTRAST FAT SAT; E: AXIAL T1 CONTRAST FAT SAT


Figure 8: 21 yr old female with vague backache. Near total destruction of T11-T12 causing kyphosis (A,B,C). Evidence of paraspinal and spinal canal extension seen with post gadolinium images showing enhancement of T11-12 vertebra adjacent to unenhanced intervening disc space (C). Localized abcess formation is seen (D) with obliteration of spinal canal and spinal cord compression (E). Cord edema seen as hyperintense signal on T2.

 

 

A: SAGITTAL T1W; B:SAGITTAL T2W; C: SAGITTAL  STIR; D: AXIAL T2

Figure 9: 15 yr old presenting with back pain and mild fever snce 3 months. Large multilocular para-spinal cystic collection is seen extending from T2-T10 vertebral bodies level showing hypointense signal on T1 and hyperintense signal on T2 and STIR. Vertebral erosions and vertebral scalloping seen in anterior aspect with associated vertebral osteomyelitis. Small epidural cystic lesion seen indenting the cord posteriorly. T4/T5 disc is involved with exaggerated dorsal kyphosis.



DISCUSSION

On MR, imaging a total of 131 vertebrae were affected in 55 patients. Average number of vertebrae affected per patient was 2.38, which is similar to what was reported by Kim et al..7 (1994) who reported an average of 2.8 vertebrae per patient. Overall, 7.21% vertebrae were involved out of 1815 vertebrae in 55 patients. Two or more contiguous vertebral involvement was seen in 86.66% of patients. This figure is comparable to Andronikou S. et al..8 (2002) who found contiguous involvement of two or more vertebral bodies in 85% cases. Multifocal disease (i.e. skip lesions) was seen in 7.18% of our patients (Figure 7). These patients had involvement of the dorsal spine. The reported incidence of multifocal disease in the literature is 4 to 12%. The figure in our study is comparable to this. Multifocal diseases can be explained by the fact that spinal tuberculosis is caused by hematogenous dissemination of tubercle bacilli. Whole spine sequence was essential to detect multifocal disease. In these patients, none of the sequences provided additional information over the other. But, the lesions were most easily visualized on fat suppressed T2 W whole spine images. This is because the normal bright signal of the vertebral marrow was suppressed on Fat Suppressed T2 images making the lesions more conspicuous. This increases the contrast between the lesion and the normal vertebrae significantly compared to T1W and T2W sequences. We therefore, believe that Fat suppressed T2W whole spine sequences should ideally be done in all patients suspected to have spinal tuberculosis.

All our patients had involvement of the vertebral body. Contiguous involvement of posterior elements was seen in 2 patients (3.63%). This figure is comparable to several earlier studies. There have been reports of isolated posterior element involvement by Desai9(8%) and Gupta et al..10(73%); however, none of our patients showed isolated posterior element involvement. In our study, out of 131 vertebrae affected in 55 patients, posterior elements involvement was seen in 13 vertebrae. Pedicles were the commonest part of posterior elements to be involved in our study.

Cortical erosion of vertebrae was seen in all patients. According to Sharif et al..2 and Thrush et al..11, this is a very helpful point to differentiate tuberculosis spondylitis from pyogenic spondylitis. In tuberculous spondylitis, cortical definition of the affected vertebrae is invariably lost and was seen in 100% of their patients. Further progression of the disease causes destruction of the vertebrae, leading to anterior wedging with partial or complete collapse and kyphotic/ kyphoscoliotic deformity which was seen in 38.18% (21/55) of patients.( Figure 8) Subligamentous spread of the lesion was seen in 44 patients (80%). A higher incidence of subligamentous spread of the lesion have been quoted by Liu et al..12 (93%) and Desai9 (92%). Subligamentous spread of the lesion is characteristic of tuberculosis spondylitis, because the tubercle bacilli lack proteolytic enzymes to destroy the ligaments14,15. In the present study, MRI detected altered signal intensity characteristics in all 55 patients, out of which majority showed hypo-intense signal on T1 weighted imaging (33/55) and increased signal intensity on T2 weighted imaging sequences (29/55) on MRI. These findings are similar to the ones brought out in the studies of Modic Michael T. et al.. (1985)15, who found similar signal intensity changes signifying vertebral osteomyelitis in 23/23 (100%) cases, Sharif Hassan S(1992)16 who found that in tuberculous spondylitis, T1-weighted images usually show decreased signal intensity and T2-weighted images show increased signal intensity of affected vertebra, Desai S.S (1994)9 who studied 23 patients and found that in all cases the involved tissues showed a decrease in signal intensity on T1-weighted images and an increase in intensity on T2-weighted images. As such, it was found that signal intensity changes in the vertebral body helped to identify bone infection or spondylitis earlier than by radiography. These changes were not themselves specific for spinal tuberculosis, but only when they are associated with evidence of a paravertebral or prevertebral abscess or disc involvement, they gain credence. Extension of the lesion with pre and paravertebral soft tissue involvement was seen in 70.9% and 61.81% respectively in the form of granulation tissue and abscess. This figure is comparable to several earlier studies. The lesion was called an abscess when it showed similar signal intensity changes as previously described for intraosseous abscess. The lesion was called granulation tissue when it showed hypo to intermediate signal intensity on T1W images, hyperintensity on T2W images and homogenous enhancement on post gadolinium images. Similar criteria for granulation tissue have been quoted-by Kim et al..7 earlier in the literature. On T2W images, abscesses were relatively more hyper intense than the granulation tissue. 25.5% of our patients showed presence of psoas abscess. Some of these extra osseous abscesses were multiloculated. (Figure 9) The presence of multiloculated abscesses in the spinal tuberculosis has also been noted by several workers earlier. Calcification and or bone fragment within the pre/ paravertebral soft tissue called 'rice bodies' was seen in 10.9% of patients (6/55). They were identified as small areas of signal void within the pre/ paravertebral soft tissue. The signal void was more prominent and better seen on T2W images. Rice bodies are said to be specific of tubercular infections. Intervertebral disc involvement was seen in 74.5% patients (41/55). The reported incidence of disc involvement in the literature varies from 33 to 100%, because the disc involvement depends on the stage of the disease. There is relative preservation of the disc in early stage of tubercular infection compared to pyogenic infection because of lack of proteolytic enzyme in tubercle bacilli18. Epidural extension of the lesion (abscess and/or granulation tissue) with resultant thecal compression with or without cord compression was seen in 80% of patients (44/55). Mean abscess thickness was 4.5 mm; SD 2.18mm, range 8mm. 50% had an abscess of thickness 4-6 mm. Maximum thickness measured 10 mm, was seen in 2 patients (3.63%) and minimum thickness 1-2 mm was seen in 2 patients (3.63%). The reported incidence of epidural extension of the lesion in the literature is 61- 100%. The incidence in our study is comparable to this. Sagittal and axial images played a key role in demonstrating spinal cord involvement. Thecal compression was seen in 48/55 patients (87.27%). Definite cord compression was seen in 20 patients. 12/55 patients showed hyperintense signal of cord on T2w images. Thecal compression was the most common finding related to spinal cord, followed by cord compression and cord edema with loss of CSF thickness having intermediate frequency. It should be further understood that cord compression does not always manifest in a neurological deficit. According to Cotton et al..18, neurological deficit occurs only when there is more than 60% encroachment of the spinal canal above the level of the conus. Compression of cord was identified on MR by recognizing the altered, flattened configuration of the cord at the site of compression. On T2w images, both cord edema and myelomalacia are seen to be hyperintense within the substance of the cord. It is very important to differentiate cord edema from myelomalacia, but it is not that simple. Therefore, clinical symptomology and duration of disease should be taken into account. It is a good time to note that edema is reversible but myelomalacia is not reversible.

 

CONCLUSION

MRI scores over CT due to the lack of ionizing radiation. Moreover, MRI recognizes marrow infiltration, helps in evaluation of extradural disease and status of spinal cord, and has high contrast resolution in delineating para vertebral extension. This has made MRI the mainstay in not only in the early diagnosis of spinal infections but also in the effective management of their sequelae. It should also be noted that it is a herculean task to differentiate tuberculous spondylitis from pyogenic spondylitis. The most important structural abnormality that need to be addressed by surgical exploration is thecal sac compression, epidural abscess, presence or absence of retropulsed fractured vertebral fragment, CSF pockets, cord compression, and cord edema. MRI helps in giving better detailing of these and helps for planning surgical decompression procedures. MRI gives phenomenal multiplanar resolution, helping in accurate early diagnosis and treatment of tuberculous spondylitis and its sequelae.

 

REFERENCES

  1. S. Bhojraj, A. Nene. Lumbar and lumbosacral tuberculous spondylo- discitis in adults. J Bone Joint Surg [Br] 2002; 84-B: 530-4.
  2. Sharif H.S., Morgan JL, Al Shahed M.S., Al Thagafi M.Y. Role of CT and MR imaging in the management of tuberculous spondylitis. Radiol Clin North Am. 1995; 33(4):787-804
  3. J. S. Mehta, S. Y. Bhojraj. Tuberculosis of the thoracic spine. A classification based on the selection of surgical Strategies. J Bone Joint Surg [Br] 2001; 83B: 859-63.
  4. T. W. Sadler. Development of vertebral column. Langman’s Medical Embryology 8th edition Lippincott Williams and Wilkins 2000; 182-183.
  5. Richard L. Drake, Wayne Vogl, Adam W. M. Mitchell. Back, Conceptual overview. Gray’s Anatomy for students. Elsevier Churchill Livingstone 2005; 17-21.
  6. Sanford A. Rubin. Tuberculosis, Captain of all these men of death. Radiologic Clin of North Am 1995; 33(4):619-639.
  7. Nam– Hyun Kim, Hwan– MO Lee, Jin– Suck Sub. Magnetic Resonance imaging for the diagnosis of tubercular spondylitis. Spine 1994; 19(21): 2451 – 2455.
  8. Andronikou S, Jadwat S, Douis H. Patterns of disease on MRI in 53 children with tuberculous spondylitis and the role of gadolinium. Pediatr Radiol. 2002; 32(11):798-805.
  9. Desai S. S. Early diagnosis of spinal tuberculosis by MRI. J Bone Joint Surg [Br] 1994; 76-B: 863-69.
  10. Gupta RK, Agarwal P. Rastogi H, Kumar S. Phadke RV: Problems in distinguishing spinal tuberculosis from neoplasia on MRI. Neuroradiology. 1996; 38(1): 97– 104.
  11. Thrush A, Enzmaflfl D. MR Imaging of infectious spondylitis. AJNR 1990; 11(6): 1171 – 80
  12. Liu GC. Chou MS. Tsai TC, Lin SY. Shen YS. MR: Evaluation of tuberculous spondylitis. Acta Radiol 1993; 34(6): 554 – 558.
  13. Myslivecek M, Nekula J, Bacovsky J, et al... Multiple myeloma: predictive value of tc-99m mibi scintigraphy and MRI in its diagnosis and therapy. Nucl Med Rev Cent East Eur 2008; 11:12–6.
  14. Kumar K, Saxena MB. Multifocal osteoarticular tuberculosis. Int Orthop. 1988;12:135–8.
  15. Modic MT, Feiglin DH, Piralno DW, Boumphrey F. Weinstein MA Duchesneau PM et al..: Vertebral Osteomyelitis: Assessment using MR. Radiology. 1985; 158: 157 – 166
  16. Hassan S. Sharif. Role of MR Imaging in the management of Spinal Infections. AJR 1992; 158:1333-1345.
  17. Kumar K, Saxena MB. Multifocal osteoarticular tuberculosis. Int Orthop.1988;12:135–8.
  18. Cotton A, Flipo RM. Drouot MH, Maury F, Chastanet P: Spinal Tuberculosis: Study of clinical and radiological aspects from a series of 82 cases. J Radiol 1996; 77(6): 419 – 426.










 

Policy for Articles with Open Access:

Authors who publish with MedPulse International Journal of Radiology (Print ISSN: 2579-0927) (Online ISSN: 2636-4689) agree to the following terms: Authors retain copyright and grant the journal right of first publication with the work simultaneously licensed under a Creative Commons Attribution License that allows others to share the work with an acknowledgement of the work's authorship and initial publication in this journal.

Authors are permitted and encouraged to post links to their work online (e.g., in institutional repositories or on their website) prior to and during the submission process, as it can lead to productive exchanges, as well as earlier and greater citation of published work.

 

 

 

 

 

 

 

 

 




 









 

Height, IVDL-Intervertebral Disc Length

 



Policy for Articles with Open Access
Authors who publish with MedPulse International Journal of Radiology(Print ISSN: 2579-0927) (Online ISSN: 2636 - 4689) agree to the following terms:
Authors retain copyright and grant the journal right of first publication with the work simultaneously licensed under a Creative Commons Attribution License that allows others to share the work with an acknowledgement of the work's authorship and initial publication in this journal.
Authors are permitted and encouraged to post links to their work online (e.g., in institutional repositories or on their website) prior to and during the submission process, as it can lead to productive exchanges, as well as earlier and greater citation of published work.