Home About Us Contact Us

 

Table of Content - Volume 21 Issue 1 - January 2022


 

Synchronous ovarian and endometrial carcinoma: A review and a case report

 

Dorna Prashanth1*, Kotha Preethi Reddy2, Rama Krishna Reddy Gaddam3, Venkat Ram Reddy kuchukulla4

 

1,2Junior Resident, 3Professor, 4Professor & HOD, Department of Radiodiagnosis, SVS Medical College and Hospital, Mahabubnagar, Telangana, INDIA.

Email: prashanthdorna@gmail.com

 

Abstract              Background: Synchronous ovarian and endometrial cancer (SEOC) is a rare instance but it accounts for 50–70% of all synchronous female genital tract tumors. We report the case of a 40year old nulliparous female patient diagnosed with synchronous endometrial carcinoma and left ovarian endometrioid carcinoma.

Keywords: Endometrial carcinoma, Ovarian carcinoma, Synchronous cancer, Surgical staging, Survival, Carcinoma, Endometrial carcinoma, Epithelial ovarian cancer, Gynecological cancer, Neoplasm, Prognosis.

 

INTRODUCTION

Synchronous endometrial and ovarian carcinomas [SEOC] occur in approximately 5% of endometrial carcinomas and 10–20% of ovarian carcinomas, respectively.5 The distinction between independent primary tumors and metastasis from one site to the other (endometrium to the ovary or ovary to the endometrium) can be complicated but it is clinically significant. SEOC is a rare instance but it accounts for 50–70% of all synchronous female genital tract tumors. Due to the different management and the favorable prognosis of SEOCs, it is important to separate SEOCs from a metastatic disease. In the past, pathologic criteria by Ulbright and Roth were used in order to distinguish synchronous primary tumors from metastasis.2,3 SEOCs are characterized by histological dissimilarity of the tumors, with either absent or only superficial myometrial invasion of endometrial cancer, absent vascular space invasion of endometrial and ovarian tumor, absence of other evidence of spread, ovarian unilateral tumor, ovarian tumor in the parenchyma and without involvement of the surface of the ovary, dissimilarity of molecular genetic or karyotypic abnormalities in the tumors, and different ploidy of DNA of the tumors.4

 

CASE REPORT

A 40 years old nulliparous premenopausal woman, presented to the gynaecology OPD with a chief complaint of abnormal uterine bleeding and pain in the lower abdomen, predominantly towards left side since an year. The patient had no significant relevant past history or risk factors. The clinical examination of the abdomen revealed no palpable mass. Abdominal ultrasound revealed a solid heterogeneously hypoechoic mass lesion arising from the left ovary, measuring approximately 55x53x50mm and showing moderate colour flow on colour doppler. A moderately enlarged uterus with increase in endometrial thickness was also identified (24 mm). No suspicious abdominal lymphadenopathy was noted. MRI Pelvis showed a single large well defined moderately enhancing, mixed predominantly solid lesion measuring approximately 60x58x53mm (MLXCCXAP) in the left adnexa, which is heterogeneously hypointense on T1W, Isointense with central hypointense areas on T2W, heterogeneously hyperintense with central hypointense areas on T2W/STIR and showing no restricted diffusion on DWI. Uterus appears moderately enlarged with multilobulated heterogenous diffuse moderately enhancing solid areas and non-enhancing cystic areas within the endometrial cavity. No suspicious pelvic lymphadenopathy was noted. Serum CA-125 concentration was elevated,95 U/mL (normal range <35 U/mL). After the positive frozen section pathological examination of the left ovary, the patient underwent a total abdominal hysterectomy, bilateral salpingo-oophorectomy, bilateral pelvic and para-aortic lymphadenectomy, and omentectomy. Pathological findings revealed a well-differentiated endometrioid carcinoma of the left ovary and a well-differentiated endometrioid carcinoma of the endometrium. The patient did not receive any adjuvant chemotherapy or radiotherapy and was suggested for a regular follow-up. Up to the last follow-up visit (April 2021), the patient had no recurrence.


 

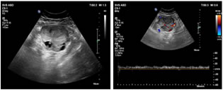
Figure 1                                             Figure 2

Figure 3                                                          Figure 4

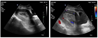
Figure 1: Mixed predominantly solid, heterogeneously hypoechoic mass lesion in the left adnexa; Figure 2: Mass lesion showing moderate vascularity on application of colour Doppler; Figure 3: Increased endometrial thickness with multilobulated heterogenous diffuse solid areas and cystic areas; Figure 4: Few solid components showing mild vascularity on application of colour Doppler;

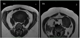
     Figure 5                           Figure 6

      Figure 7                       Figure 8

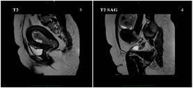
Figure 5: T1W Thickened heterogenous endometrial cavity; Figure 6: T1W Heterogeneously hypointense, mixed predominantly solid lesion involving the left adnexa; Figure 7: T2W Mixed solid and cystic areas in the endometrial cavity; Figure 8: T2W Mixed predominantly solid lesion involving the left adnexa showing Isointense with central hypointense areas;

 

Figure 9                                             Figure 10

Figure 11                                      Figure 12

Figure 9: T2 STIR Mixed solid and cystic areas in the endometrial cavity; Figure 10: T2 STIR Mixed predominantly solid lesion involving the left adnexa showing Isointense with central hypointense areas; Figure 11: T1+C showing multilobulated heterogenous diffuse moderately enhancing solid areas and non-enhancing cystic areas in the endometrial cavity; Figure 12: T1+C showing a single large well defined moderately enhancing, mixed predominantly solid lesion involving the left adnexa;

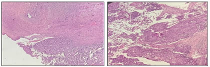
Figure 13                                                      Figure 14

Figure 13: Histopathological appearance of Carcinomaovary; Figure 14: Histopathological appearance of carcinomaendometrium

 


ENDOMETRIUM: Microscopy showed endometrium with a neoplasm composed of cells arranged in glandular, cribriform and papillary pattern. The cells had moderate cytoplasm and vesicular nuclei with prominent nucleoli. Many cells with clear cytoplasm were also noted.

LEFT OVARY: Microscopy showed a neoplasm composed of cells arranged in papillae, fused glandular, cribriform and focal solid areas. Lining cells are composed of stratified, columnar to cuboidal cells with smooth luminal border, moderate eosinophilic cytoplasm and mildly pleomorphic vesicular nucleus with small nucleoli. Numerous apoptotic bodies were also noted.

 

ETIOPATHOGENESIS

The etiology and pathogenesis of synchronous primary cancers of the female genital tract, remains unclear. The theory of the “secondary Müllerian system” has been proposed to explain the observation of multiple similar cancers in the female genital tract. According to this theory, epithelia of the cervix, uterus, fallopian tubes, ovaries and peritoneal surfaces simultaneously respond to a carcinogenic stimulus. Shared hormonal receptors (estrogen receptors) may be responsible for the development of multiple primary malignancies in predisposed tissue.6 It is also possible that synchronous presence of these cancers is an indicator of an etiologically distinct condition. Perhaps patients have a more fragile genome and prior genetic damage may predispose to synchronous cancers. Thus, embryologic, hormonal or other phenomena may be associated with the development of malignancies arising simultaneously in genital tissues.

 

DISCUSSION

Synchronous primary cancers are relatively uncommon in general population. About 0.5-1.7% of women with gynecological malignancies have synchronous primary cancers of the female genital tract. Among the Synchronous primary cancers of female genital tract, endometrial and ovarian cancers are the most common combination. Patients with synchronous primary endometrial and ovarian cancers had distinct clinical characteristics including: young age, obesity, premenopausal status and nulliparity. Usually, they are 10 - 20 years younger than their counterparts with endometrial or ovarian cancer. The median age of diagnosis is 50 years. The most common presenting symptoms and signs are: abnormal uterine bleeding (46%), abdominal/pelvic pain (17%) and abdominal/ pelvic mass (13%). Synchronous primary endometrial and ovarian cancers may have a similar appearance or may be of different histologic types. The distinction between metastatic and synchronous primary cancers is relatively easy, when they have different histologic types. However, the distinction is relatively difficult when they share the same histologic features. For that purpose in clinical practice we use well described empirical criteria. For most patients with synchronous primary endometrial and ovarian cancers, systematic surgical staging is the baseline therapy. Systematic surgical staging includes: total abdominal hysterectomy with bilateral salpingo-oophorectomy, total omentectomy, appendectomy, pelvic and para-aortic lymphadenectomy and complete resection of all disease. Moreover, systematic surgical staging allows a clearer decision for stage related postoperative adjuvant therapy.7 Especially in advanced stage patients, required a more aggressive management with postoperative adjuvant chemotherapy and/ or radiotherapy. The most active chemotherapeutic agents are: taxanes, anthracyclines and platinum compounds. Prognostic factors for synchronous primary endometrial and ovarian cancers are: age, stage of ovarian cancer, grade of endometrial cancer and adjuvant therapy. Patients with synchronous primary endometrial and ovarian cancers endometrioid type have a better overall survival than patients with non-endometrioid or mixed histologic subtypes. Also, patients with synchronous primary endometrial and ovarian cancers have overall 5-year survival 85.9% and 10-year survival 80.3%8. The reason for better overall survival of patients with synchronous primary endometrial and ovarian cancers is not intuitively obvious. Usually endometrial cancer produces early symptoms, so synchronous ovarian cancer may be detected at an earlier stage. Moreover, favorable prognosis may be related with the detection of patients at early stage and low-grade disease with an indolent growth rate.

 

CONCLUSION

Women with synchronous primary cancers of the endometrium and ovary were young, obese, nulliparous, and premenopausal. Patients with concordant endometrioid tumors of the endometrium and ovary had a favorable prognosis, with median survival approaching 10 years.1

 

REFERENCES

  1. Synchronous primary cancers of the endometrium and ovary: a single institution review of 84 cases.Pamela T SolimanBrian M SlomovitzRussell R BroaddusCharlotte C SunJonathan C OhPatricia J EifelDavid M GershensonKaren H Lu

  2. How to manage synchronous endometrial and ovarian cancer patients Wonkyo ShinSang-Yoon ParkSokbom Kang,Myong Cheol Lim and Sang-Soo Seo.

  3. Synchronous Endometrial and Ovarian Cancer in Young Women: Case Report and Review of the Literature, askin dogan, beate schultheis, günther a. Rezniczek, ziad hilal, cem cetin, günther häusler and clemens b. Tempfer

  4. Synchronous endometrioid endometrial and ovarian carcinomas are biologically related: A clinico‑pathological and molecular (next generation sequencing) study of 22 caseAuthors: Nikola Hájková,Ivana Tichá,Jan Hojný, Kristýna NěmejcováMichaela

  5. Synchronous primary cancers of endometrium and ovary vs endometrial cancer with ovarian metastasis: an observational studyF. Moro,M. Leombroni, T. Pasciuto, I. N. Trivellizzi,F. Mascilini,F. Ciccarone,G. F. Zannoni,F. Fanfani,G. Scambia,A. C. Testa,

  6. Synchronous primary neoplasms of the female reproductive tractR F Eisner 1R K NiebergJ S Berek

  7. Synchronous type ii endometroid adenocarcinoma of the ovary and endometrium: A case report Dr. Anandita, Dr. Indu R Nair and Dr. Anupama Rajanbabu

  8. Synchronous Primary Endometrial and Ovarian Cancers: Trends and Outcomes of the Rare Disease at a South Asian Tertiary Care Cancer CenterNazish KhalidFaizan UllahHania ZafarAbdul Wahid AnwerTaskheer AbbasOsama ShakeelMuhammad FaisalTabinda SadafAamir Ali Syed.

 

























 








 




 








 

 









Policy for Articles with Open Access
Authors who publish with MedPulse International Journal of Anesthesiology (Print ISSN:2579-0900) (Online ISSN: 2636-4654) agree to the following terms:
Authors retain copyright and grant the journal right of first publication with the work simultaneously licensed under a Creative Commons Attribution License that allows others to share the work with an acknowledgement of the work's authorship and initial publication in this journal.
Authors are permitted and encouraged to post links to their work online (e.g., in institutional repositories or on their website) prior to and during the submission process, as it can lead to productive exchanges, as well as earlier and greater citation of published work.