Home About Us Contact Us

 

Table of Content - Volume 21 Issue 2 - February 2022


 

Clinical, imaging spectrum and outcome of PRES

 

Praveen Chowdary Meduri1*, Annam Jaya Madhavi2, Vadlapally Karuna3, Susmitha Yella4,

Varun Kumar Reddy Anchala5

 

{1Assistant Professor, 4Professor & HOD, Department of Neurology} {2Assistant Professor, 3Associate Professor, 5Postgraduate, Department of Radiology}, NRI Academy of Medical Sciences, Chinakakani, Guntur, Andhra Pradesh 522503, INDIA.

Email: praveencmeduri@gmail.com, jayamadhavi.a@gmail.com

 

Abstract              Background: Posterior reversible encephalopathy syndrome (PRES), also called the acute hypertensive encephalopathy and reversible leukoencephalopathy syndrome (RPLS), is a clinico-radiological syndrome presents with rapid onset of headache, seizures, loss of consciousness, visual loss and characterized by white matter vasogenic edema affecting parietal and occipital lobes of the brain predominantly. However, the imaging findings are variable and may occur in other locations such as the frontal lobes, thalami, basal ganglia and brainstem.  Objective: To study the clinical, imaging spectrum and final disease outcome of PRES Materials And Methods: The study was conducted on 52 patients who presented with clinical features and radiological diagnosis of PRES The clinical, imaging features and outcome of each patient were analyzed Results: The study was conducted on 52 patients with age range from below 10yrs to 65 yrs. Patients presented with various symptoms of which seizures(84.6%) is most common followed by headache(59.6%), vomiting (36.5%), visual disturbances(32.7%), altered sensorium(15.3%), thalamic aphasia (5.7%), hemiparesis(3.8%), paresthesia(3.8%), ataxia(3.8%), Quadriparesis (3.8%) and facial numbness (1.9%) is the least. On MR imaging typical parieto-occipital lobe involvement(98%)is seen in most of the cases, however other atypical regions involved were frontal lobe(52%),temporal lobe (17.3%), cerebellum (27%),thalamus (15.3%), brainstem (13.4%), basal ganglia (9.6%) and corpus callosum (1.9%) Lesions in atypical locations also had lesions in typical locations in all cases except in one case of central PRES. Dominant parieto-occipital pattern was seen in 32%,superior frontal sulcus pattern in 27%,holohemispheric pattern in 34.6%,Partial or asymmetric expression of primary patterns in 5.2% cases Diffusion restriction and postcontrast enhancement was seen in less than 25% cases. Complete resolution of symptoms was seen in 90.5% cases,3.8% of them succumbed to death. On follow up 5.7% of cases showed persistence of symptoms. Conclusion: PRES is a clinico-radiological syndrome with varied clinical and imaging spectrum. Involvement of atypical regions is not uncommon. However lesions in atypical locations often have lesions in typical locations also.Atypical imaging features like restricted diffusion and contrast enhancement are also not uncommon. Knowledge of atypical lesion location, atypical imaging features is necessary for the clinicians and radiologists not to misdiagnose PRES in the appropriate clinical setting

 

INTRODUCTION

Posterior reversible encephalopathy syndrome (PRES), also called the acute hypertensive encephalopathy and reversible leukoencephalopathy syndrome (RPLS), is a clinico-radiological syndrome presents with rapid onset of headache, seizures, impaired consciousness, visual changes, nausea, vomitings and focal neurological signs.1 Its association is seen with a number of conditions including hypertension, pre-eclampsia and eclampsia, renal failure, systemic lupus erythematosus ,use of some immunosuppressive agents, thrombocytopenic purpura, hemolytic uremic syndrome.2,3,4 Infection, sepsis, and shock have recently been suggested as other associations5 Bilateral and symmetrical vasogenic oedema involving the cortical and subcortical regions of the occipital and parietal lobes is the typical imaging feature, although some patients present with atypical distributions including the anterior cerebral lobes, brain stem, cerebellum, and basal ganglia.2-6 Atypical imaging appearances like contrast enhancement, hemorrhage and restricted diffusion on MRI may be seen.1,11,12,13,14 As clinical and radiological experience with PRES grows, several atypical clinical and imaging features are being increasingly recognized, knowledge of which is essential for correct diagnosis and appropriate management. In this article we describe the clinical, imaging features and outcome of PRES.

 

MATERIAL AND METHODS

The current prospective longitudinal observational study was conducted at a tertiary care center from April 2018 to November 2021.Patients with clinical and imaging features of PRES were included in the study. Detailed clinical history was taken and thorough general physical, systemic and neurological examination was carried out for each patient. All the clinical and radiological data were noted on a predesigned proforma. All patients underwent MR imaging with T1‑weighted, T2 weighted, T2 FLAIR, susceptibility weighted, diffusion‑weighted, contrast enhanced T1‑weighted imaging sequences on 1.5 T MR machine. Lesion distribution in anatomical regions, patterns were identified on T2 weighted and T2 FLAIR images. Other features like restricted diffusion on DWI, hemorrhage on SWI, contrast enhancement were noted. According to the patterns available in the literature, cases were classified into four categories: Dominant parieto-occipital pattern, Superior frontal sulcus pattern, Holo-hemispheric watershed pattern and partial or asymmetric expression of the primary pattern. Follow up imaging was included in the available cases. Outcome of each patient was noted.

 


 

RESULTS

In the current study, we prospectively followed 52 patients of PRES with complete clinical and MRI data to delineate the clinico‑radiological profile and prognosis in a comprehensive manner. The study population consisted of 52 patients of whom 11 were males and 41 were females.  The age range was from below 10 years to 65 years of age. Most of the patients 34 (65.3%) were in the age group of 21 to 30 years followed by the groups of 31–40 years 8(15.3%) and 11–20 years 2(3.8%). There were 3 patients younger than 10 years (5.7%) and 5 patients older than 50 years (9.6%).

 

Table 1: Predisposing factors of PRES in our study

Predisposing condition

Number of patients

Percentage

Eclampsia

37

71

Chronic kidney disease

5

9.6

Chemotherapy

3

5.7

Post renal transplant

2

3.8

Systemic lupus erythematosus

2

3.8

Nephrotic syndrome

2

3.8

IgA nephropathy

1

1.9

Predisposing conditions were eclampsia in 37 (71%) patients, CKD in 5 (9.6%) to chemotherapy in 3 (5.7%), post renal transplant in 2 (3.8%),SLE on treatment with Rituximab in 2 (3.8%),Nephrotic syndrome in 2 (3.8%),IgA nephropathy in 1(1.9%) patients (Table 1). Of the 37 patients who had eclampsia, 32 patients were primi and 5 patients were of second pregnancy

Table 2: Clinical features of PRES in our study

Clinical features

Number of patients

Percentage

Seizures

44

84.6

Headache

31

59.6

Vomitings

19

36.5

Visual disturbances

17

32.7

Altered sensorium

8

15.3

Thalamic aphasia

3

5.7

Hemiparesis

2

3.8

Paresthesia

2

3.8

Ataxia

2

3.8

Quadriparesis

2

3.8

Facial numbness

1

1.9

Most common symptom in our study was seizures (84.6%). Generalized tonic clonic (57%) type was most common. Partial seizures was seen in 17.2% and status epilepticus in 10.4% of cases. Other clinical features like headache (59.6%), vomitings (36.5%), visual disturbances (32.7%), altered sensorium (15.3%), thalamic aphasia (5.7%), hemiparesis (3.8%), paresthesia(3.8%),ataxia(3.8%), Quadriparesis (3.8%) and facial numbness(1.9%) were also noted in our study (Table 2).

On MR imaging parietal and occipital lobes were involved in 96.1% and 94.2% of cases respectively. Atypical location of lesions was not uncommon in our study. Atypical lesion location was seen in frontal lobe(n=27,52%), temporal lobe (n=9,17.3%), cerebellum (n=14,27%), thalamus (n=8,15.3%), brainstem (n=7,13.4%), basal ganglia (n=5,9.6%) and corpus callosum(n=1,1.9%). However, all these cases had changes also in the typical locations such as the parietooccipital white matter of bilateral cerebral hemispheres except in one case of central PRES in which there was involvement of midbrain,pons and thalami with lack of cortical or subcortical edema of the cerebrum. Dominant parieto-occipital pattern was seen in 32%, superior frontal sulcus pattern in 27%, holohemispheric pattern in 34.6%, Partial or asymmetric expression of primary patterns in 5.2% of cases. In our study 11 cases (21.1%) had restricted diffusion. Areas of restricted diffusion were seen in the background of extensive vasogenic edema. Punctate foci of restricted diffusion was seen in 7 (13.5%) cases and focal gyral configuration was seen in 5 (9.6%) cases. Contrast enhancement was seen in 9(17.3%) cases. Follow up MRI was available in 27 patients. Of this reversibility of lesions was seen in 24 patients. Of the 11 cases who had restricted diffusion follow up was available in 9 cases. 6 cases had resolution of lesions and 3 showed non resolution of the lesions. Of the 52 patients complete resolution of symptoms occurred in 47 patients. Two (3.8%) patients succumbed to death on day 4 and day 5 of hospitalization. Three (5.7%) patients had persistence of neurological symptoms (one with seizures, one with hemiparesis, one with visual disturbances).

 

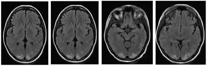
Figure 1: Posterior reversible encephalopathy syndrome (PRES) in a 28yrs female who presented with generalized tonic clonic seizures on 7th post operative day of emergency LSCS. MRI showed relatively symmetrical cortical and subcortical edema on FLAIR in typical locations involving bilateral posterior parietal and occipital lobes, but no diffusion abnormalities (not shown)

 

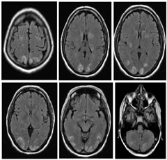
Figure 2: Posterior reversible encephalopathy syndrome (PRES) in a patient on chemotherapy for carcinoma right ovary who presented with one episode of seizure, BP was 150/100mm of Hg.MRI showed involvement of typical and atypical regions.Relatively symmetrical FLAIR cortical, subcortical edema extending to deep white matter of bilateral posterior parietal and occipital lobes, periventricular white matter,bilateral lentiform nuclei,right thalamus,bilateral cerebellar hemispheres, but no diffusion abnormalities (not shown)

 

 

Figure 3: Posterior reversible encephalopathy syndrome (PRES) in a Primi gravida with preclampsia and twin pregnancy, presented with severe headache and seizures on first postoperative day of emergency LSCS.MRI showed holohemispheric patttern of involvement . (a,b,c,d,e) FLAIR cortical, subcortical edema in bilateral front,parietal, temporal and occipital lobes,bilateral cerebellar hemispheres,head of caudate nucleus on right side. (f,g) Area of restricted diffusion seen in the left parieto-occipital lobe.

 

Figure 4: Posterior reversible encephalopathy syndrome (PRES) in a k/c/o ALL, post chemotherapy (L-asparginase) now c/o seizures. (a,b,c,d) FLAIR images showing vasogenic edema in bilateral frontal, parietal, temporal nad occipital lobes. (e,f,g,h) Post contrast T1 images showing leptomeningeal enhancement and patchy cortical enhancement in the involved areas.

 


DISCUSSION

In our study we describe the clinical and imaging spectrum and outcome of PRES. In accordance with the literature our study shows that PRES is a heterogeneous syndrome with various clinical and imaging features.15,16 The reason for female preponderance in our study is probably related to the fact that eclampsia accounted for 71% of all cases. PRES was most common in primigravida. In our study PRES occurred in a wide range of disorders and predisposing conditions: ranging from eclampsia in 71% of patients, CKD in 5 9.6% to chemotherapy in 5.7%, post renal transplant in 3.8%, SLE on treatment with Rituximab in 3.8%, Nephrotic syndrome in 3.8%, IgA nephropathy in 1.9% patients. Most common symptom in our study was seizures (84.6%). Generalized tonic clonic type was most common(57% of patients). Partial seizures was seen in 17.2% and status epilepticus in 10.4% of cases. Bartynski WS et al. in their study reported seizures as the most common symptom in 71% of cases.1 Lee VH et al. also reported seizures as the most common symptom in 87% cases.16 According to literature generalized tonic clonic type was seen in 54–64%, partial seizures in 3–28%, and status epilepticus in 3– 17% cases.17,18,19,20 Varied clinical features like headache (59.6%), vomiting (36.5%), visual disturbances (32.7%), altered sensorium (15.3%), thalamic aphasia (5.7%), hemiparesis (3.8%), paresthesia (3.8%), ataxia(3.8%), Quadriparesis (3.8%) and facial numbness(1.9%) were also noted in our study. The imaging manifestations of PRES may vary and can include atypical locations.21 In our study parietal and occipital lobes were involved in 96.1% and 94.2% respectively. Frontal and temporal lobes were involved in 52% and 17.3% cases respectively. Atypical region involvement mostly occurred in central zones (such as the basal ganglia, thalami, brainstem, basal ganglia and corpus callosum). Compared with previous studies.15,22,23 there were some similar locations but with different incidences in our study; this may be due to the different sample sizes and populations. However, all these cases had changes also in the typical locations such as the parietooccipital white matter of both brain hemispheres except in one case (1.9%) of central PRES in which there was involvement of midbrain, pons and thalami with lack of cortical or subcortical edema of the cerebrum. In a series of 124 patients with PRES, McKinney et al. noted that 4% of patients had imaging findings of a “central variant” PRES, revealing brainstem or deep gray nuclei involvement without involvement of the cerebral hemispheres. They reported that thalami were involved in all five PRES patients with MR findings consistent with the central variant, but there was variable involvement of the posterior limb of the internal capsule, cerebellum, and periventricular white matter.22 Bartynski WS et al. reported dominant parieto-occipital pattern in 22.1%, superior frontal sulcus pattern in 27.2%,holohemispheric pattern in 22.8%, Partial or asymmetric expression of primary patterns in 27.9 % cases.1 In our study dominant parieto-occipital pattern was seen in 32%,superior frontal sulcus pattern in 27%,holohemispheric pattern in 34.6%,Partial or asymmetric expression of primary patterns in 5.2% cases. McKinney et al. reported restricted diffusion in 17.3%, hemorrhage in 17.1%, enhancement in 37.7% of cases.5 Saurabh Bansal et al. reported diffusion restriction, haemorrhage, and contrast enhancement in 30%, 22.2%, and 25% patients respectively.24 In our study 11 cases (21.1%) had restricted diffusion. Areas of restricted diffusion were seen in the background of extensive vasogenic edema. Punctate foci of restricted diffusion was seen in 7 (13.5%) cases and focal gyral configuration was seen in 5 (9.6%) cases. Hemorrhage, contrast enhancement was seen in 7(13.4%), 9(17.3%) cases respectively in our study. Follow up MRI was available in 27 patients. Of this reversibility of lesions was seen in 24 patients. Of the 11 cases who had restricted diffusion follow up was available in 9 cases. 6 cases had resolution of lesions and 3 showed non resolution of the lesions. Mortality is uncommon in PRES. Hinchey et al. did not report mortality in his study group.25 Highest mortality was noted by Lee et al. who reported mortality rate of 15.1%.26 Of the 52 patients complete resolution of symptoms occurred in 47 patients. Three (5.7%) patients had persistence of neurological symptoms (one with seizures, one with hemiparesis, one with visual disturbances). Two (3.8%) patients succumbed to death on day 4 and day 5 of hospitalization. The cause of death is not directly related to PRES in these cases. One patient developed HELLP syndrome and stress cardiomyopathy in the setting of eclampsia, other patient had multiorgan dysfunction at the time of admission.

 

CONCLUSION

PRES is a clinico-radiological syndrome with varied clinical and imaging spectrum. Involvement of atypical regions is not uncommon. However lesions in atypical locations often have lesions in typical locations also. Atypical imaging features like restricted diffusion and contrast enhancement are also not uncommon. Knowledge of atypical lesion location, atypical imaging features is necessary for the clinicians and radiologists not to misdiagnose PRES in the appropriate clinical setting

 

REFERENCES

  1. Hinchey J, Chaves C, Appignani B, Breen J, Pao L, Wang A, et al. A reversible posterior leukoencephalopathy syndrome. N Engl J Med (1996)334:494‑500.
  2. Onder AM, Lopez R, Teomete U, et al. Posterior reversible encephalopathy syndrome in the pediatric renal population. Pediatr Nephrol (2007)22:1921–9.
  3. Datar S, Singh T, Rabinstein AA, Fugate JE, Hocker S. Long-term risk of seizures and epilepsy in patients with posterior reversible encephalopathy syndrome. Epilepsia (2015) 56:564–8.
  4. Kastrup O, Gerwig M, Frings M, Diener HC. Posterior reversible encephalopathy syndrome (PRES): electroencephalographic findings and seizure patterns. J Neurol. (2012) 259:1383–9.
  5. Sha Z, Moran BP, McKinney AM IV, Henry TR. Seizure outcomes of posterior reversible encephalopathy syndrome and correlations with electroencephalographic changes. Epilepsy Behav (2015) 48:70–4.
  6. Karampekios SK, Contopoulou E, Basta M, et al. Hypertensive encephalopathy with predominant brain stem involvement: MRI findings. J Hum Hypertens (2004)18:133-4.
  7.  Choh NA, Jehangir M, Rasheed M, et al. Involvement of the cervical cord and medulla in posterior reversible encephalopathy syndrome. Ann Saudi Med (2011)31:90-2.
  8.  Chen TY, Lee HJ, Wu TC, et al. MR imaging findings of medulla oblongata involvement in posterior reversible encephalopathy syndrome secondary to hypertension. AJNR Am J Neuroradiol (2009) 30:755-7.
  9.  Ono Y, Manabe Y, Hamakawa Y, et al. Localized lesions on MRI in a case of hypertensive brainstem encephalopathy. Intern Med (2005) 44:1002-5.
  10.  Ekawa Y, Shiota M, Tobiume T, et al. Reversible posterior encephalopathy syndrome accompanying eclampsia: correct diagnosis using preoperative MRI. Tohoku J Exp Med (2012)226:55-8.
  11. Schwartz RB, Jones KM, Kalina P, et al. Hypertensive encephalopathy: findings on CT, MR imaging and SPECT imaging in 14 cases. AJR (1992) 159:379–383
  12.  Schwartz RB, Bravo SM, Klufas RA, et al. Cyclosporine neurotoxicity and its relationship to hypertensive encephalopathy: CT and MR findings in 16 cases. AJR (1995) 165:627–631
  13.  Schwartz RB, Feske SK, Polak JF, et al. Preeclampsia–eclampsia: clinical and neuroradiographic correlates and insights into the pathogenesis of hypertensive encephalopathy. Radiology (2000) 217:371–376
  14. Truwit CL, Denaro CP, Lake JR, et al. MR imaging of reversible cyclosporin A-induced neurotoxicity. Am J Neuroradiol 1991; 12:651–659 6. Covarrubias DJ, Luetmer PH, Campeau NG. Posterior reversible encephalopathy syndrome: prognostic utility of quantitative diffusion-weighted MR images. Am J Neuroradiol (2002) 23:1038–1048
  15. Bartynski WS, Boardman JF. Distinct imaging patterns and lesion distribution in posterior reversible encephalopathy syndrome. Am J Neuroradiol (2007) 28:1320–1327.
  16. Lee VH, Wijdicks EF, Manno EM, Rabinstein AA. Clinical spectrum of reversible posterior leukoencephalopathy syndrome. Arch Neurol (2008) 65:205–210.
  17. Datar S, Singh T, Rabinstein AA, Fugate JE, Hocker S. Long-term risk of seizures and epilepsy in patients with posterior reversible encephalopathy syndrome. Epilepsia (2015) 56:564–8.
  18. Kastrup O, Gerwig M, Frings M, Diener HC. Posterior reversible encephalopathy syndrome (PRES): electroencephalographic findings and seizure patterns. J Neurol. (2012) 259:1383–9.
  19.  Sha Z, Moran BP, McKinney AM IV, Henry TR. Seizure outcomes of posterior reversible encephalopathy syndrome and correlations with electroencephalographic changes. Epilepsy Behav (2015) 48:70–4.
  20. Hinduja A, Habetz K, Raina SK, Fitzgerald RT, Sahaya K. Predictors of seizures in patients with posterior reversible encephalopathy syndrome. Epilepsy Behav (2016) 61:97–101.
  21. Rajesh Raman Radhika Devaramane Geetha Mukunda Jagadish Sanjana Chowdaiah. Various Imaging Manifestations of Posterior Reversible Encephalopathy Syndrome (PRES) on Magnetic Resonance Imaging (MRI). Pol J Radiol (2017) 82:64-70.
  22. Alexander M McKinney Bharathi D JagadeesanCharles L Truwit. Central-variant posterior reversible encephalopathy syndrome: brainstem or basal ganglia involvement lacking cortical or subcortical cerebral edema. AJR Am J Roentgen (2013) 201:631-8.
  23. Alexander M McKinney James ShortCharles L TruwitZeke J McKinneyOsman S KozakKaren S SantaCruzMehmet Teksam. Posterior reversible encephalopathy syndrome: incidence of atypical regions of involvement and imaging findings. AJR Am J Roentgenol (2007) 189(4):904-12.
  24. Saurabh Bansal Ramandeep Bansal Manoj Kumar Goyal Aastha Takkar Ramandeep Singh Paramjeet Singh Vivek Lal. Clinical, Etiological and Imaging Profile of Posterior Reversible Encephalopathy Syndrome: A Prospective and Follow-Up Study. Ann Indian Acad Neurol (2020) 23(2):182-188.
  25. Hinchey J, Chaves C, Appignani B, Breen J, Pao L, Wang A, et al. A reversible posterior leukoencephalopathy syndrome. N Engl J Med (1996)334:494‑500.
  26. Lee SY, Dinesh SK, Thomas J. Hypertension‑induced reversible posterior leukoencephalopathy syndrome causing obstructive hydrocephalus. J Clin Neurosci (2008)15:457‑9.




















 








 




 








 

 









Policy for Articles with Open Access
Authors who publish with MedPulse International Journal of Anesthesiology (Print ISSN:2579-0900) (Online ISSN: 2636-4654) agree to the following terms:
Authors retain copyright and grant the journal right of first publication with the work simultaneously licensed under a Creative Commons Attribution License that allows others to share the work with an acknowledgement of the work's authorship and initial publication in this journal.
Authors are permitted and encouraged to post links to their work online (e.g., in institutional repositories or on their website) prior to and during the submission process, as it can lead to productive exchanges, as well as earlier and greater citation of published work.