Home About Us Contact Us

Official Journals By StatPerson Publication

Table of Content Volume 7 Issue 1 - July 2018


 

 

Role of colour doppler sonography in evaluation of portal venous hypertension

 

Rajani Gorantla1, G V N Pradeep2*, K Suseel Kumar3

 

1,2Assistant Professor, Department of Radiodiagnosis, NRI Medical College and General Hospital, Mangalagiri Road, Chinakakani, Guntur, Andhra Pradesh-522503, INDIA.

3Professor and Director, Kamaraju Diagnostics, Guntur, Andhra Pradesh, INDIA.

Email: drraaji@gmail.com

 

Abstract               Background: Portal hypertension (PH) is the result of increased hepatic vascular resistance and portal blood flow. In majority of cases portal hypertension is seen as a major complication of cirrhosis although less commonly seen in variety of extrahepaticdiseases. PH leads to serious complications, such as variceal bleeding, portal hypertensive enteropathy, ascites, spontaneous bacterial peritonitis, hepatorenal syndrome, and hepatic encephalopathy.PH is responsible for significant morbidity and mortality in patients with decompensated cirrhosis. Objectives: 1. To diagnose and establish the cause of Portal hypertension, 2. To evaluate the spectrum of Colour Doppler sonographic findings in Portal hypertension, 3.To study flowmetric changes in Portal hypertension, 4. To look for the presence of various Portosystemic collaterals. Methodology: A Cross sectional study was conducted with the sample size of 40. All patients referred to the Department of Radiodiagnosis with the clinically suspected cases of portal hypertension, in a period of 2 years from January 2014 to October 2015 were subjected for the study. Results: Dilated Portal vein > 13mm and Respiratory variations of PV diameter < 20% can be used as sensitive signs of Portal Hypertension. Direction of flow in PV,SMV and splenic vein and Various Portsystemic collaterals can be evaluated using Colour Doppler Ultrasound. Ultrasound is sensitive in detecting the associated findings of PH like Ascites and Splenomegaly. Conclusion: Colour Doppler ultrasound is a non-invasive, relatively cheap and easily accessible imaging modality that helps in making the diagnosis of clinically significant portal hypertension. It also provides useful information as to it’s cause and presence of complications.It was found to provide important information on the hemodynamic alterations in porto-hepatic venous system in patients with Portal Hypertension.

Key Words: colour doppler sonography, Portal Hypertension.

 

 

 

INTRODUCTION

Portal hypertension (PH) is the result of increased hepatic vascular resistance and portal blood flow. In majority of cases portal hypertension is seen as a major complication of cirrhosis although less commonly seen in variety of extrahepatic diseases. PH leads to serious complications, such as variceal bleeding, portal hypertensive enteropathy, ascites, spontaneous bacterial peritonitis, hepatorenal syndrome, and hepatic encephalopathy.PH is responsible for significant morbidity and mortality in patients with decompensated cirrhosis.1The measurement of the hepatic venous pressure gradient (HVPG) has served as the gold standard for assessing the degree of PH.2 This parameter reflects disease severity and has a strong prognostic value with regard to survival.3 However, the widespread routine clinical use of this method has been limited by the procedure’s invasive nature and the requirements for skilled expertise and special equipment.4,5 Consequently non-invasive imaging modalities particularly Gray scale Ultrasound and Colour Doppler Ultrasound plays a crucial role in diagnosis, identifying the cause, complications and management of portal hypertension. Colour Doppler Sonography is non-invasive, cost-effective and requires no radiation. It is most rapid, widely available and easy to follow up and presently the initial imaging of choice for evaluation of portal hypertension.6

 

MATERIAL AND METHODS

Source of Data: Patients presenting to Katuri Medical College and Hospital, Guntur.

Method of collection of data: All patients referred to the Department of Radiodiagnosis with the clinically suspected cases of portal hypertension, in a period of 2 years from January 2014 to October 2015 were subjected for the study.

Type of study: Cross sectional study.

Sample size: 40

Inclusion Criteria:

All cases with clinical suspicion and diagnosed cases of Portal hypertension, Adult cases (cases in the age group of 20-80).

Exclusion criteria: Paediatric age group cases, Pregnant cases, Traumatic cases.

Methodology: All patients included in the study will undergo ultrasonography of abdomen using a curvilinear and a sector probe of 3.5 – 5.0 MHZ coupled with Colour Doppler equipment.

Machines used: USG: Philips Envisor, GE LOGIQ F8

Scan Technique7:

The patient is scanned in a supine or left lateral decubitus position. Depending on vessel orientation and body habitus, the portal vein and hepatic artery are best interrogated by either a subcostal approach pointing posterocephalad, or a right intercostal approach pointing medially. Since the portal vein and hepatic artery travel together in the portal triad, along with the common duct, these approaches should satisfactorily interrogate both vessels.


 

Table 1: How to Search for Portosystemic Collaterals

Step 1

Begin with the splenic vein and note the direction of flow in this vessel. If flow is reversed(toward the spleen), splenogastric or splenorenal collaterals are likely to exist.

Step 2

Evaluate blood flow direction in the main portal vein and the right and left portal branches.Flow reversal or a to-and-fro flow pattern indicates collateralization.

Step 3

Return to the left portal vein and follow it to the vicinity of the falciform ligament, where an umbilical vein collateral may be visible.

Step 4

Look for a dilated coronary vein by locating the superior mesenteric vein-portal junction onlongitudinal images. Move the scan plane slightly to the right and left until a cephaladdirected vessel is identified.

Step 5

Look for varices in the gallbladder wall and bed.

Step 6

With longitudinal scans, sweep along the left lobe of the liver, looking for gastric or gastroepiploic collaterals adjacent to the posterior surface of the liver.

Step 7

With longitudinal scans, look for collaterals in the vicinity of the gastroesophageal junction.

Step 8

With the patient in the right lateral decubitus position and using coronal or transverse scans,look for splenorenal and splenogastric collaterals in the vicinity of the upper and lower poles of the spleen (respectively).

Statistical Analysis: Collected data was analyzed in the form of Percentages and proportions

RESULTS

40 Patients with clinical diagnosis and suspicion of Portal hypertension were studied using Gray scale and Colour Doppler Ultrasound. Various parameters of Portal hypertension like PV Diamterand Flow metric changes, Portosystemic collaterals, Asscocited findings like Splenomegaly and Ascites and Etiologies of Portal Hypertension were evaluated in this study. The most common age group presenting with portal hypertension was between 36- 50 years constituiting about 45 % of the study population. Of the 40 patients 24 (60%) were males and the rest 16 (40%) were females, indicating a male predominance. Dilated Portal vein > 13 mm was observed in 25/40 cases constituting about 62.5% of our study population. It can be considered as a sensitive sign of Portal Hypertension. Respiratory variations of less than 20% of portal vein diameter was noticed in 70% of study population. Most frequent type of flow is normal hepatopetal flow in Portal vein, SMV and splenic vein seen in 75%, 87.5% and 90% of the study sample respectively. Hepatofugal flow in Portal vein seen in 7.5% of the study sample.5% of the study sample shows Hepatofugal flow in SMV and splenic vein. Bidirectional flow is the least frequent type in PV seen in 5% of the study sample. 2.5% of the study sample shows bidirectional flow in SMV and Splenic vein. Thrombosis in PV, SMV and Splenic veins are see in 15%, 5% and 2.5% of the study population. More frequently seen in PV. Portosystemic collaterals are seen in 62.5% of the study Population. The most frequent type is Lienorenal collaterals seen in 42.5% of the sample. Least frequent is the GB varices seen in only 2.5% of the study sample. Alchoholic cirrhosis is the most common etiology for Portal hypertension seen in 47.5% of the study sample. Viral hepatitis is associated with 17.5% of the study population. Associted findings like Ascites, Splenomegaly are seen in 65% and 75% of the study population respectively. GB wall edema noticed in 37.5% of the study sample. Dilated Portal vein > 13mm and Respiratory variations of PV diameter < 20% can be used as sensitive signs of Portal Hypertension. Direction of flow in PV, SMV and splenic vein and Various Portsystemic collaterals can be evaluated using Colour Doppler Ultrasound. Ultrasound is sensitive in detecting the associated findings of PH like Ascites and Splenomegaly.


 

1

Figure 1:                                                                              Figure 2:

2

Figure 3:                                                                              Figure 4:

3

Figure 5:                                                                              Figure 6:

4

Figure 7:                                                                              Figure 8:

 

5

Figure 9:                                                                              Figure 10:

Figure 11:                                                                            Figure 12:

6

Figure 13:                                                                            Figure 14:

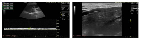
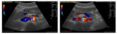
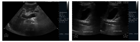
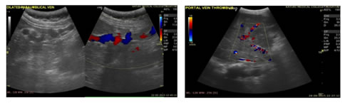
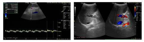
Figure 1: USG Axial image showing Dilated Portal Vein; Figure 2: USG Axial image showing Loss of Respiratory variations in Portal Vein diameter; Figure 3: Colour Doppler showing Flow reversal in Splenic vein; Figure 4: Colour Doppler Axial image: Flow reversal in SMV shown by arrow; Figure 5: USG Axial image showing dampened flow in Portal vein; Figure 6: HRUS image showing Nodular liver surface in cirrhosis

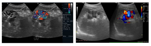
Figure 7: Spectral Doppler USG image: Showing Biphasic flow in Splenic vein; Figure 8: Gray scale and Colour Doppler USG image: Showing Cavernomatous transformation of Portal vein; Figure 9: Gray scale and Colour Doppler USG image; Figure 10: Showing Dilated Coronary vein with Hepatofugal flow; Figure 11: Gray scale and Colour Doppler USG image: Showing GEJ collaterals; Figure 12: Gray scale and Colour Doppler USG image: Showing Lienorenal collaterals; Figure 13: Gray scale and Colour Doppler USG image: Showing Recannalised Paraumbilical vein with hepatofugal flow; Figure 14: Colour Doppler USG image: Showing Absent Colour flow in Portal vein due to Thrombosis

DISCUSSION

A cross sectional study of 40 patients with a clinical suspicion of Portal hypertension was undertaken using Gray scale and Colour Doppler Ultrasonography. Various findings of Portal Hypertension and their etiologies were studied and their percentage of detection were evaluated. The age group included under study was from 20 – 80 years. The most common age group presenting with portal hypertension was between 36- 50 years constituiting about 45 % of the study population. Patients in the age groups 51-65 years constitute about 25 % of the study population.17.5 % and 12.5 % of the study population were in the age groups 20-35 and 66-80 years respectively. Puneet Mittal, et al [6] studied 50 patients to evaluate the association between color Doppler findings and the severity of Portal hypertension in patients with cirrhosis. In their study the most common age group presenting with Portal hypertension was between 31 – 40 years with mean age of 45 years almost similar to our study. Of the 40 patients 24 (60%) were males and the rest -16 (40%) were females, indicating a male predominance. The number of male patients were more than the female patients in all age groups of our study population except in 20-35 years age group. Maximum number of male patients were between the age group of 36-50 years in our study. This was similar to the studies done by Puneet Mittal, et al6 and Alexandra von Herbay, et al8 in which male predominance was noted.

Bolondi, et al9 studied the the caliber of the portal veinin 79 patients with Portal Hypertension and 45 healthy individuals. Portal vein diameter ≥ 1.3 cm was observed in 33/79 cases (41.7%). They concluded that portal vein caliber ≥ 1.3 cm can be considered a fairly characteristic sign of portal hypertension. In a study done by Jeffrey Weinreb, et al10 the mean portal vein diameter in 107 patients was found to be 11 ± 2 mm. They also concluded that portal vein caliber ≥ 1.3 cm can be considered a fairly characteristic sign of portal hypertension.      In a study done by Ditchfield MR, et al11 portal vein diameter ≥ 13 mm was observed in only 41.1% of their study population. In the present study Portal vein diameter > 13 mm was observed in 25/40 cases constituting about 62.5% of our study population. PV diameter ≤ 13 mm was observed in 15/40 cases constituting about 37.5% of our study sample. According to study conducted by Bolondi, et al9 an increase of less than 20% in diameter of portal vein with deep inspiration indicates portal hypertension with sensitivity of 80% and specificity of 100%. In our study respiratory variation of portal vein diameter less than 20% was found in 28/40 cases constituting about 70% of our study sample. 12/40 cases, about 30% of study population showed normal respiratory variation of more than 20% of portal vein calibre. Bolondi, et al found that lack of respiratory variations of portal vein diameter was more sensitive sign of portal hypertension than dilatation of portal vein. In our study Dilated Portal vein > 13mm was found in 62.5% of study population. Respiratory variations of less than 20% of portal vein diameter were noticed in 70% of study population. Hence in our study we found that both Dilated Portal vein > 13mm and Respiratory variations of less than 20% of Portal vein diameter as sensitive signs of Portal Hypertension.

According to study done by Alexandra Von Herbay, et al8 the direction of portal venous flow was normal (hepatopetal) in 80 patients (73%), hepatofugal in 10 (9%), and bidirectional in 7 (6%); 12 patients (11%) had partial portal vein thrombosis. Concluded that direction of portal venous flow is an important feature in the sonographic diagnosis of portal hypertension. In a study done by Puneet Mittal, et al6 hepatopetal flow was found in 39 patients (78%); hepatofugal in 4 (8%), and bidirectional in 2 (4%); 3 patients (6%) had portalvein thrombosis. In the present study hepatopetal flow was found in 30 patients (75%); hepatofugal in 3 (7.5%), and bidirectional in 2 (5%); 6 patients (15%) had portal vein thrombosis. The results of our study were similar to the studies done by Alexandra von Herbay, et al and Puneet Mittal, et al. Most of the studies evaluated the direction of flow in Portal vein only and studies about evaluation of direction of flow in Superior mesenteric vein and Splenic vein in Portal hypertension were less. In our study the direction of flow in Superior mesenteric vein was normal (hepatopetal) in 35 patients (87.5%), hepatofugal in 2 (5%), and bidirectional flow in 1 patient (2.5%); 2 patients (5%) had SMV thrombosis. Normal hepatopetal flow in Splenic vein was found in 36 patients (90%); 2 patients (5%) showed hepatofugal flow; Biphasic flow seen in 1 patient (2.5%) and one patient (2.5%) showed Splenic vein thrombosis. Only 7.5% of our study population showed flow changes (Flow reversal/Bidirectional flow) in Splenic and Superior mesenteric veins.

M.R. Ditchfield, et al11 studied Sonographic parameters in 118 patients with Portal hypertension using Color Doppler Ultrasound and found Portosystemiccollaterals in 73.3% of patients overall. Patent or enlarged Paraumbilicalvein was found in 85.6% of patients. Subramanyam, et al12 studied 40 patients with known Portal hypertension using gray scale ultrasound. At least one collateral pathway was found in 88% of study sample. In a study done by Alexandra von Herbay, et al8 Portosystemic collaterals were found in 38% of study population. The most frequent collateral was Splenorenal shunts seen in 21% of study population. Patent Paraumbilical vein was noticed in 14% of study sample. They concluded that Portosystemic shunts are one of the important features in the Sonographic diagnosis of Portal Hypertension. Puneet Mittal, et al6 done a study on 50 patients with the clinical diagnosis of cirrhosis with portal hypertension. Portosystemic collaterals were found in 42 patients constituting about 84% of study population. Splenic varices were the most common type of collaterals seen in 81% of study population. Esophageal varices were seen in 8%, Recanalized Umbilical vein in 6% and Gallbladder bed varices in 2% of the study population. In present study Portosystemic collaterals are seen in 25 patients constituiting about 62.5% of study population. This finding correlates with the study done by M.R. Ditchfield, et al. Higher incidence of Portosystemic collaterals in studies done by Subramanyam, et al and Puneet Mittal, et al is probably due to limited sample size and selective examination of patients with Portal hypertension. Low incidence of Portosystemiccollaterals in study done by Alexandra von Herbay, et al is probably due to examination of all cirrhotic patients irrespective of association of Portal hypertension. In present study various types of Portosystemic collaterals were identified using Gray scale and Colour Doppler Ultrasound. The Most frequent collateral seen is Lienorenal collaterals in 42.5% of study population. This finding correlates with studies done by Alexandra von Herbay, et al and Puneet Mittal, et al. In present study GEJ collaterals are seen in 30% of the study sample; Lienogastric collaterals in 20%; Paraumbilical vein identified in 15% of the study population. Other collaterals like Coronary vein and GB varices seen in 10% and 2.5% of the study sample respectively. Cavernomatous transformation of Portal vein seen in 5% of study population. This finding correlates with the study done by Puneet Mittal, et al in which Portal cavernoma is seen in 4% of study sample. The least frequent collaterals in present study is the GB varices seen in 2.5% of the study sample which correlates with study done by Puneet Mittal, et al. In a study done by M.R. Ditchfield, et al[11] patent or enlarged Paraumbilical vein was found in 85.6% of patients. They concluded that the presence of a patent or enlarged paraumbilical vein is a practical, useful and sensitive ultrasound sign to look for in the diagnosis of PH. This finding is against our present study in which patent Paraumbilical vein is seen in only 15% of the study sample. But this correlates with the other studies done by Alexandra von Herbay, et al and Puneet Mittal, et al.

In a study done by Gibson, et al13 splenomegaly was found on Ultrasound in 52% of the study population. They found out that splenomegaly, whether assessed sonographically or clinically, is an insensitive sign of portal hypertension. In a study done by M.R. Ditchfield, et al11 Splenomegaly was found in only 53.5% of patients demonstrating its poor sensitivity as a sign of portal hypertension. In present study Splenomegaly (> 13mm) was found in 75% of the study population which is more than that of above studies. Absence of splenomegaly doesn’t rule out Portal hypertension. Ascites and GB wall edema may be associated with Portal hypertension. However their absence doesn’t exclude the diagnosis of Portal hypertension. In our Present study Ascites is found in 26 patients constituting about 65% of the study population. GB wall edema is found in only 15 patients who come around 37.5% of the study sample. Ascites, Splenomegaly and GB wall edema are non-specific findings. Portal hypertension occurs in various etiologies. In our study the most frequent etiology of Portal hypertension is cirrhosis due to alcohol intake seen in 47.5% of the study population. Viral hepatitis is seen in 17.5% of the study sample. Other causes like Portal vein thrombosis are seen in 15% of the study sample; Hepatic malignancy is seen in 5% and isolated left sided Portal hypertension is noted in 2.5% of the study population. Limitations of the present study include that diagnosis of cirrhosis and portal hypertension was based on the combination of clinical, laboratory and US findings. Liver biopsy or objective measurements were not done to prove the diagnosis. This could lead to excluding patients with early disease and those with atypical findings. In addition, no follow-up was done to evaluate if Doppler parameters correlated with the final outcome or not. Massive ascites, Obesity, Respiratory movements, Bowel gas, and Small size of collaterals are other major limiting factors for Colour Doppler Ultrasound evaluation of Portal Hypertension.

 

CONCLUSION

Colour Doppler ultrasound is a non-invasive, relatively cheap and easily accessible imaging modality that helps in making the diagnosis of clinically significant portal hypertension. It also provides useful information as to it’s cause and presence of complications. It was found to provide important information on the hemodynamic alterations in porto-hepatic venous system in patients with Portal Hypertension.

 

REFERENCES

    • Kim MY, Baik SK. Hyperdynamic circulation in patients with liver cirrhosis and portal hypertension. Korean J Gastroenterol 2009;54:143-148,
    • Lebrec D. Methods to evaluate portal hypertension. Gastroenterol Clin North Am 1992;21:41-59
    • Ripoll C, Groszmann R, Garcia-Tsao G, Grace N, Burroughs A, Planas R, et al. Hepatic venous pressure gradient predicts clinical decompensation in patients with compensated cirrhosis. Gastroenterology 2007; 133:481-488.
    • Vizzutti F, Arena U, Rega L, Pinzani M. Non invasive diagnosis of portal hypertension in cirrhotic patients. Gastroenterol Clin Biol 2008;32(6 Suppl 1):80-87
    • Kim MY, Suk KT, Baik SK, Kim HA, Kim YJ, Cha SH, et al. Hepatic vein arrival time as assessed by contrast-enhanced ultrasonography is useful for the assessment of portal hypertension in compensated cirrhosis. Hepatology 2012; 56:1053-1062.
    • Puneet Mittal, Ranjana Gupta, GauravMittal, VishalKalia. Association Between Portal Vein Color Doppler Findings and the Severity of Disease in Cirrhotic Patients With Portal Hypertension. Iran J Radiol. 2011; 8(4): 211-217.
    • Myron A. Pozniak. The Liver. Myron A. Pozniak, MD, FACR, FSRU, FARS, Paul L. Allan, BSc, DMRD, FRCR, FRCPE. Clinical Doppler Ultrasound.3rd Edition. Edinburgh: Elsevier; 2014. p. 148-149.
    • Alexandra von Herbay MD, Thomas Frieling MD and Dieter Häussinger MD.Color dopplersonographic evaluation of spontaneous portosystemic shunts and inversion of portal venous flow in patients with cirrhosis.Journal of Clinical Ultrasound. 2000 Sep;28(7): 332-339.
    • Luigi Bolondi M.D, LionelloGandolfi M.D, Vincenzo Arienti M.D, Gian Carlo Caletti M.D, Eugenio Corcioni M.D, Giovanni Gasbarnini M.D, Giuseppe Labo M.D.Ultrasonography in the Diagnosis of Portal Hypertension: Diminished Response of Portal Vessels to Respiration.Radiology.1982 January;142: 167-172.
    • Weinreb J, Kumari S, Phillips G, Pochaczevsky R. Portal vein measurements by real-time sonography. AJR 1982 Sept; 139(3):497-499.
    • M.R. Ditchfield M.B.B.S, R.N. Gibson M.B.B.S, F.R.A.C.R, J.D. Donlan M.I.T and P.R. Gibson M.D, F.R.A.C.P. Duplex Doppler Ultrasound Signs of Portal Hypertension: Relative Diagnostic Value of Examination of Paraumbilical Vein, Portal Vein and Spleen. Australasian Radiology.1992 May;36(2): 102–105.
    • Bala R. Subramanyam M.D, Emil J. Baithazar M.D, Mariano R.Madamba M.D, B. Nagesh Raghavendra M.D, Steven C. Horii M.D, Richard S. Lefleur M.D.Sonography of Portosystemic Venous Collaterals in Portal Hypertension.Radiology.1983 January;146: 161-166.
    • Gibson PR, Gibson RN, Ditchfield MR, Donlan JD. Splenomegaly-an insensitive sign of portal hypertension.Aust NZ J Med 1990 Dec; 20(6): 771-4.