Home About Us Contact Us

Official Journals By StatPerson Publication

Table of Content Volume 9 Issue 1 - January 2019


  

Highlights on the imaging of odontogenic cysts and tumors

 

Fahd Nasser Al Qahtani

 

Department of Radiology, Faculty of Medicine, Al-Baha University, KINGDOM OF SAUDI ARABIA.

Email: fahdnasseralqahtani@gmail.com

 

Abstract               Imaging of lesions of the mandible and maxilla is difficult due to the similarity in the radiographic appearance of different pathological processes. These lesions may be either of odontogenic origin or from the bone. The reaction of the cortical and cancellous bone to pathologic process will be either an osteolytic or an osteoblastic response; so, most of the lesions of the jaws are categorized into cystic or lytic appearing, sclerotic, or a mixture of the two. The jaw cysts are classified into odontogenic cysts which are related to teeth, non-odontogenic, and others which are not true cysts but are considered within this category because they have cyst-like radiographic characters. Odontogenic tumors represent 9% of the oral cavity tumors. This review article will study the imaging characteristic features of the most common odontogenic cysts and tumors to help establishing the keys to the differential diagnosis.

Key Word: imaging, jaw cysts and tumors, odontogenic cysts, odontogenic tumors

 

 

 

INTRODUCTION

Imaging of lesions of the mandible and maxilla is difficult due to the similarity in the radiographic appearance of different pathological processes. These lesions may be either of odontogenic origin or from the bone. The reaction of the cortical and cancellous bone to pathologic process will be either an osteolytic or an osteoblastic response; so, the majority of the lesions of the jaws are categorized into cystic or lytic appearing, sclerotic, or a mixture of the two.1 The jaw cysts are classified into odontogenic cysts which are related to teeth, non-odontogenic, and others which are not true cysts but are considered within this category because they have cyst-like radiographic characters. Some tumors, especially ameloblastoma and odontogenic keratocyst (OKC) which is classified as a tumor, the keratocystic odontogenic tumor (KCOT should be considered in the differential diagnosis of a cyst. Odontogenic tumors represent 9% of the oral cavity tumors. They originate from the ectoderm, the mesenchyme or the ectomesenchyme which are involved in the formation and development of the tooth germ. Malignant tumors are the malignant counterpart of these benign categories and are extremely uncommon.2, This review article will study the imaging characteristic features of the most common odontogenic cysts and tumors to help establishing the keys to the differential diagnosis.

Imaging techniques: Intra-oral radiographs are the basic dental imaging techniques. They include periapical, bitewing and occlusal films. They are used for diagnosis of most of dental pathology. They are mostly done and evaluated by the general dentist. They are performed without intensifying screens; thus, they have higher spatial resolution than panoramic films. This helps detects minor caries and periapical lucencent lesions which are difficult to be detected with panoramic radiographs.3 Dental panoramic tomography is a special tomographic technique that generates a flat image of the curved surfaces of the jaws. It is a common radiographic technique that provides a detailed data of the dentition, pathological conditions such as odontogenic and non-odontogenic lesions, periodontitis, and lesions of the jaws. In addition, it provides primary information about the boney status of the temporomandibular joints. Its main disadvantage is having a high and unpredictable geometric distortion, and has relatively low spatial resolution in comparison to intra-oral films.4 Lateral and anteroposterior cephalograms are standard extra-oral radiographs. They can be done in a cephalostat using film-screen or digital techniques. They are used for orthodontic evaluation and are important to assess the skeletal and dental relations of the jaws and jaw asymmetry.3 Multidetector row computed tomography (MDCT), is the most recent imaging modality, with wide uses throughout the body. The multiple detector rows and very thin slice profiles result in the volumetric acquisition of data, with isotropic voxels (i.e. as thin in the craniocaudal plane as they are in the transverse and anteroposterior planes), so that data are shown at equal resolution in any plane, including curved (panoramic) planes. Three-dimensional reconstructions and thick, slab-like multiplanar reformats (MPRs) can also be generated from this volume data set. It is considered the imaging technique of choice in assessment of most maxillofacial region pathologies. It provides good bone details. In addition, assessment of the soft tissues and the articular disc of the temporomandibular joint, are also possible. Artefact from dental amalgam impairs CT and leads to a relatively high radiation dose.5 Cone-beam computed tomography (CBCT) utilizes a cone shaped X-ray beam to produce projection data through a flat detector, during a single 360◦ rotation, from which a volumetric data set is reconstructed using algorithms like those used in conventional CT. It produces a smaller radiation dose than conventional CT. It is not suitable for assessment of soft tissues. Similar to conventional CT, the volume data set is used to generate multiplanar and three-dimensional reconstructions. CBCT unit is smaller and less in cost than conventional CT scanner. It can be used to get lateral and anteroposterior cephalometric images for orthodontic evaluations. Some CBCT units are prepared to acquire cephalometric projections and panoramic tomograms directly.6 Magnetic resonance imaging (MRI) is beneficial in the assessment of the extent of soft-tissue invasion by tumors and can distinguish between odontogenic cysts and tumors.3

Imaging of odontogenic tumors: The majority of odontogenic tumors present as cysts that are identified on intra-oral radiographs or dental panoramic tomography. Intra-oral radiographs have a very high spatial resolution, perfectly demonstrating the relationship between the lesion and the tooth crown or apex but because they are small sized, they can only detect small lesions measuring less than 20mm. Dental panoramic tomography can produce a clear image of a medium to large-sized lesions. Also, multiple lesions and bone-related lesions can also be detected on panoramic tomography.1 Multidetector or cone-beam CT has a very good spatial and high contrast resolution.5 The use of ‘Dentascan’ software can give panoramic, radial and axial 2D reconstructions. Some other software can help the creation of highest intensity projections and 3D volume reconstructed images.7 MDCT is better than CBCT in visualizing the details of the soft tissues and providing accurate measurement of attenuation. This helps imaging of the thick keratin material in keratocystic odontogenic tumors and differentiates between cysts and solid tumors. Also, it can evaluate the extent, outline, and multiplicity of the lesion, its relationship to the adjacent teeth, root resorption, internal structure, jaw expansion, and cortical erosion.5 The Lesions can be classified according to the type of matrix into three categories: radiolucent, radiopaque or mixed radiolucent–radio-opaque. MRI can increase specificity in diagnosis as it precisely differentiates between solid and cystic lesions based on enhancement patterns and signal characteristics. The use of the specific criteria for diagnosis allows proper differentiation between the keratocystic odontogenic tumor and other odontogenic lesions. The keratin-rich debris in a KCOT has a characteristic central drop in signal on T2-weighted images.8

1. Radicular (periapical or apical periodontal) cyst: It is the commonest odontogenic cyst. It occurs secondary to a periapical inflammatory lesion of a non-vital tooth root or a residual cyst, which occurs after loss or removal of the tooth (Fig. 1). It is characterized by its location near the apex of a carious or heavily restored non-vital tooth, mostly a maxillary incisor or canine. It is similar to a periapical granuloma, but its size is generally larger (more 20 mm), with a rounder outline, and a well-defined border. It appears as a well-circumscribed corticated radiolucent lesion at the apex of the nonvital tooth. Cortical expansion may be detected with large cysts (Fig. 2). it may cause resorption of root of the affected tooth displace nearby structures as the neighbouring teeth or the mandibular canal. in MRI, periapical cyst present high T2 (due to high fluid content) and variable T1 signal intensity (Fig. 3). Contrast-enhanced MR show an enhancing cystic wall which is consistent with inflammatory process.9

2. Dentigerous (follicular) cyst: It is the second commonest odontogenic cyst. It is characterized by its pericoronal location, surrounding the crown of an unerupted tooth. It is commonly related to un-erupted third molars (Fig. 4) and maxillary canines. It may be also related to the crown of an unerupted supernumerary tooth, most commonly a mesiodens. It should be differentiated from a hyperplastic follicle. In the dentigerous cyst, the follicular space is less than 2–3 mm. the hyperplastic follicle does not displace the tooth or produce cortical expansion.10 On radiographs, the dentigerous cyst presents as a well circumscribed unilocular radiolucent lesion related to the crown of an unerupted tooth9 (Fig. 5). CT is beneficial for evaluation of large lesions and can visualize the origin, size, and internal contents of the cyst and assess the integrity of the cortical plate and relationship of the lesion to the nearby structures 9. marked cortical expansion or thinning of the buccal or lingual plates can be seen with large cysts. The roots of the offending tooth are present outside the lesion. Large lesions can develop irregular borders due to unequal expansion and may be like ameloblastoma and keratocystic odontogenic tumors.11 MRI is not indicated for diagnosis in most cases; but it can help in the characterization of large cysts. MRI classically shows high T2 and low to intermediate T1 signal within the cyst, whereas the tooth appears as a signal void. Contrast-enhanced images show enhancement of the thin wall of the cyst (Fig.6). The detection of a thick irregular wall or a solid component suggests the possibility of ameloblastoma. FDG PET/CT shows background FDG uptake; however, if inflammation is present, mild FDG hypermetabolism may be detected.8,12

3. Keratocystic odontogenic tumor (KCOT, formerly OKC): It originates from the dental lamina. It has a thin wall of keratinized epithelium and may contain a thick cheesy material formed by the desquamated keratinized epithelium. These contents sometimes increase the radiographic attenuation of the cyst at CT (Fig. 7), but this does not occur on panoramic tomography. The commonest affected age of The KCOT is the second and third decades. It occurs commonly in the posterior mandible (90% posterior to the canines, 50% in the ramus). Similar to odontogenic lesions, its epicentre is above the inferior alveolar canal. In 40% of cases it is related to an unerupted tooth, thus it should be considered in the differential diagnosis of the dentigerous cyst. It usually has a well-defined corticated outline that may be scalloped. It produces slight jaw expansion and is less likely to cause displacement or resorption of the teeth root than the dentigerous cyst. It may reach a large size and has a high recurrence rate after surgical removal. The basal cell nevus syndrome (Gorlin-Goltz syndrome) is characterized by Multiple KCOTs, vertebral and rib anomalies and heavy calcification of the falx cerebri.13 A keratocystic odontogenic tumor is a benign but locally aggressive odontogenic tumor that is most commonly occurs in the ramus and body of the mandible. It may be unilocular or multilocular and often contains daughter cysts that extend to the surrounding bone leading to mild bulging of the cortex but without marked cortical expansion. Keratocystic odontogenic tumor shows slight to no expansion within the body of the mandible; however, once it reaches the ramus, it typically causes significant expansion. It may show a more aggressive growth pattern including multilocularity, cortical expansion, perforation of the cortical bone, tooth and mandibular canal displacement, root resorption, and extrusion of erupted teeth (Fig. 8).14 CT shows a unilocular or multilocular cyst with corticated margins. Keratocystic odontogenic tumors typically occur in the mandibular body and ramus in association with an impacted tooth.13 MRI shows a thin-walled, minimally peripherally enhancing cyst with heterogeneous intensity fluid contents (intermediate T1 signal and intermediate to high T2 signal) due to variable proteinaceous content. MRI can help differentiate between keratocystic odontogenic tumor and ameloblastoma, the latter of which has a mixed pattern of cystic and solid and components, irregular thick walls, and avid enhancement of solid components. Rarely, malignant transformation into squamous cell carcinoma occurs; PET/CT will visualize intense FDG hypermetabolism similar to other head and neck squamous cell carcinomas (Fig. 9).15

4. Ameloblastoma: Ameloblastoma is the second most common benign odontogenic tumor and shares a tendency for being locally aggressive and having a relatively high recurrence rate. Ameloblastoma represents 11% of the tumors of the maxillofacial region. It is the commonest and most clinically significant odontogenic tumor. It arises from odontogenic epithelium. It has multiple histological types which are difficult to differentiate radiologically. The commonest regions to be affected are the molar area and ascending ramus.16 There are a number of histologic subtypes of ameloblastoma, with the multicystic and unicystic follicular types most common; the less common desmoplastic, plexiform, and a canthomatous variants are generally indistinguishable on conventional imaging. Ameloblastomas are mixed cystic and solid lesions with the multi-cystic lesions generating the more classically known “bubbly” appearance produced by multiple intralesional septations (Fig. 10 A); with contrast administration, these septations will typically enhance. The unicystic variants may contain a mural nodule that likewise enhance; identification of a mural nodule is key to differentiating this variant from the KCOT or the dentigerous cyst (Fig. 10 B). Differentiation from a KCOT and other odontogenic lesions is very hard by plain x-rays and CT, and the differential diagnosis should be considered. The ameloblastoma leads to marked buccolingual jaw expansion and resorption of the roots than a KCOT.16 The less common subtypes may have more aggressive appearing features, or like the desmoplastic subtype, may appear in more anterior alveolar locations (Fig. 10 C).17 On MRI, the cystic elements will beT2 hyperintense, which helps to distinguish them from other benign mesenchymal odontogenic or malignant neoplasms. Moreover, although these lesions will appear cystic, the ameloblastoma is a more cellular lesion than the KCOT and thus the solid elements will generally restrict diffusion to a greater degree. MRI features of ameloblastoma offers accurate diagnosis. They include multilocularity, mixed cystic and solid components, irregular thicken wall, papillary projections, and mural and septal enhancement.12,15

5. Uncommon odontogenic cysts: Lateral peridontal cysts are small sized, and present lateral to the tooth root, commonly in the mandibular canine and premolar region. The buccal bifurcation cyst (mandibular infected buccal cyst or paradental cyst) is located buccaly and centred to the root bifurcation of the first or second mandibular molar, often related to delayed eruption. It is better diagnosed with occlusal radigraphs or CT (Fig. 11). The calcifying odontogenic cyst is less common, occurring anteriorly in both jaws (commonly in the maxillary canine region), and internal calcification may be present.18

6. Radiolucent lesions: A Well-defined radiolucent lesion is the commonest radiographic appearance of benign odontogenic cysts or tumors. They are described as unilocular, lobulated or multilocular based on their margin and peripheral internal structure. Usually, they are well defined with a corticated margin which may be lost if secondary infection occurs.19

7. Radio-opaque lesions: The differential diagnosis of sclerotic lesions of the jaws is very wide. The odontome is a representative radio-opaque odontogenic tumor.3Odontome (compound and complex) is characterized by the proliferation of hard dental tissues. There are two types: a. Compound odontome which appears as amalgamated mass of multiple, deformed tooth like structures (denticles). The anterior maxilla is the commonest site for this lesion. b. Complex odontome which appears as aggregated mass of heavy ossified and calcified tissues. The mandibular molar and premolar regions are the commonest site for this lesion (fig.12). 20

8. Mixed radiolucent and radio-opaque: These lesions include fibro-osseous lesions(FOLs) and inflammatory lesions (e.g. osteomyelitis, osteonecrosis). Typical tumorsin this category include the adenomatoid odontogenic tumorand the calcifying epithelial odontogenic tumor. Other less common lesions are the odontogenic tumors.21

1

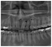
Figure1: Radicular cyst. Cropped panoramic tomogram shows a well-defined cyst (arrows) related to the upper right central incisor. The root canal of this tooth is widened (arrowhead).
2

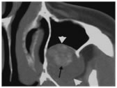
Figure2: Radicular cyst. (A) Axial (CT) view with bone window shows an expansile cystic mass in the left maxillary alveolus. Note the thin, corticated rim (arrow). (B) Coronal bone CT shows that the cystic mass (long white arrow) is intimately associated with resorption of the root apex (short white arrow). Endodontal infection from the restoration (black arrow) was the culprit in this case.

3

Figure3: periapical cyst. (A) Axial gadolinium-enhanced fat-suppressed T1- weighted image shows enhancement of cyst wall (arrow); this finding is consistent with periapical cyst. (B) Coronal T2-weighted MR image shows high signal in anterior body of mandible (arrow).

 

4

Figure 4: Dentigerous cyst (white arrows) related to an unerupted right mandibular third molar, shown on a panoramic MIP reconstruction from a CT of the mandible. Note the mild inferior displacement of the inferior alveolar canal (black arrowheads) by the cyst.
5


Figure 5: Dentigerous cyst. A–C, Axial (A), coronal (B), and volume-rendering 3D (C) CT views show well-circumscribed unilocular radiolucent lesion (arrows) containing crown of unerupted second molar (tooth 31)


.
6

Figure 6: Dentigerous cyst. (A) Coronal bone CT shows a large cystic mass extending from around the crown and cemental- enamel junction (CEJ, arrows) of an unerupted tooth. The tooth is displaced superiorly, whereas the leading edge of the cyst has displaced surrounding unerupted teeth inferiorly. (B) Axial T1- weighted magnetic resonance (MR) image of a dentigerous cyst shows a sharply marginated hyper-intense cystic mass (long arrow). Compare the hyperintensity of the cyst with the iso-intense (cf. muscle) signal of the associated mucosal thickening in the maxillary sinus (short arrow).

7

Figure7: Odontogenic keratocystic tumor (KCOT) in the maxilla. Axial CT section shows well-defined cyst centred in posterior right maxilla (white arrow heads), with amorphous hyper attenuating central contents (black arrow).

8

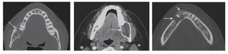
Figure 8: Keratocystic odontogenic tumor. (A) Oblique sagittal CT image demonstrates large radiolucent mass (arrows) in posterior body of mandibular ramus, with scalloping of cortex. (B) Axial contrast-enhanced CT image demonstrates cystic mass with mild peripheral enhancement (arrow) breaking through cortex and extending into left masseter muscle.

9

Figure 9: squamous cell carcinoma most likely originating on top of keratocystic odontogenic tumor. (A) Axial and (B) 3D CT images obtained using bone algorithm show large radiolucent mass (arrows) within posterior body of left mandible with associated cortical break. Note periosteal reaction, which may suggest aggressiveness of lesion or superimposed infection. the mass (arrowhead, B) contains crown of unerupted third molar. (C), Fused PET/CT image shows intense FDG uptake (maximum standardized uptake value = 25.6) associated with left mandibular mass (arrow); this finding suggests malignancy. Bilateral hypermetabolic level II lymph nodes were also noted (not shown).

10

Figure10: Ameloblastoma. (A) Axial bone CT shows the multi-septated or loculated appearance of the multicystic ameloblastoma. Also, it shows course septations and the eccentric expansion (arrow). (B)Axial contrast-enhanced CT of a unicystic ameloblatoma demonestrates a cystic lesion eccentrically expanding the buccal and lingual cortices. The enhancing mural nodule (arrow) is a characteristic feature for ameloblastoma. (C) Axial bone CT of a desmoplastic type of ameloblastoma. The expansile lobulated and loculated mass (long arrow) is

characteristic for ameloblastoma; the more anterior location is less common. However, the location, aggressive sclerotic changes and periosteal reaction (short arrow) are seen more often in this type.

11

Figure11: Mandibular infected buccal cyst (buccal bifurcation cyst). Coronal reformatted CT image shows a cyst (arrow) buccal to the roots of the lower right second molar tooth, resulting in characteristic tilting of this tooth.

CONCLUSION

We have presented a short review of the commonest odontogenic cysts and tumors encountered, a discipline which straddles the areas of expertise of the head and neck radiologist and the dental radiologist.

                                                

REFERENCES                                                                                       

  1. Scarfe WC, Toghyani S, Azevedo B (2018) Imaging of benign odontogenic lesions. Radiologic Clinics 56:45-62
  2. SOLUK-TEKKEŞİN M, Wright JM (2018) The World Health Organization Classification of Odontogenic Lesions: A Summary of the Changes of the 2017 (4th) Edition. Turkish Journal of Pathology 34
  3. Larheim TA, Westesson P-LA, Maxillofacial imaging (2017) Springer
  4. Chuenchompoonut V, Ida M, Honda E, et al (2003) Accuracy of panoramic radiography in assessing the dimensions of radiolucent jaw lesions with distinct or indistinct borders. Dentomaxillofacial Radiology 32:80-86
  5. Gohel A, Oda M, Katkar AS, et al (2018) Multidetector Row Computed Tomography in Maxillofacial Imaging. Dental Clinics of North America 62:453-465
  6. Scarfe WC (2018) Cone beam computed tomography. White and Pharoah's Oral Radiology: Principles and Interpretation:150
  7. Saha A, Das AK, Biswas S, et al (2016) Comparative evaluation of dental computed tomographic software program in the analysis of jaw lesions in comparison with panoramic radiographs. International Journal of Research in Medical Sciences 4:303-313
  8. Probst F, Probst M, Pautke C, et al (2015) Magnetic resonance imaging: a useful tool to distinguish between keratocystic odontogenic tumours and odontogenic cysts. British Journal of Oral and Maxillofacial Surgery 53:217-222
  9. Lin LM, Ricucci D, Kahler B (2017) Radicular cysts review. JSM Dental Surgery 2:1017.1011-1017.1013
  10. Krishnapillai R, Punnoose K (2018) Clinicopathologic Profile of Dentigerous Cyst in North Karnataka Region of India: A 20 Year Review (Revised). Journal of Clinical and Diagnostic Research 12
  11. Meng Y, Zhang Y, Ye X, et al (2018) Imaging analysis of ameloblastoma, odontogenic keratocyst and dentigerous cyst in the maxilla using spiral CT and cone beam CT. Zhonghua kou qiang yi xue za zhi= Zhonghua kouqiang yixue zazhi= Chinese journal of stomatology 53:659-664
  12. Apajalahti S, Kelppe J, Kontio R, et al (2015) Imaging characteristics of ameloblastomas and diagnostic value of computed tomography and magnetic resonance imaging in a series of 26 patients. Oral surgery, oral medicine, oral pathology and oral radiology 120:e118-e130
  13. Boffano P, Ruga E, Gallesio C (2010) Keratocystic odontogenic tumor (odontogenic keratocyst): preliminary retrospective review of epidemiologic, clinical, and radiologic features of 261 lesions from University of Turin. Journal of Oral and Maxillofacial Surgery 68:2994-2999
  14. Grasmuck EA, Nelson BL (2010) Keratocystic odontogenic tumor. Head and neck pathology 4:94-96
  15. Moubayed SP, Khorsandi A, Urken ML (2016) Radiological challenges in distinguishing keratocystic odontogenic tumor from ameloblastoma: an extraordinary occurrence in the same patient. American journal of otolaryngology 37:362-364
  16. Masthan K, Anitha N, Krupaa J, et al (2015) Ameloblastoma. Journal of pharmacy and bioallied sciences 7:S167
  17. S (2015) Clinicopathological and imaging variants of Ameloblastoma-Case series. International Journal of Applied Dental Sciences 1:145-148
  18. Regezi JA, Sciubba JJ, Jordan RC, Oral pathology: clinical pathologic correlations (2016) Elsevier Health Science
  19. MacDonald D (2016) Lesions of the jaws presenting as radiolucencies on cone-beam CT. Clinical radiology 71:972-985
  20. Peranovic V, Noffke C (2016) Clinical and radiological features of 90 odontomas diagnosed in the Oral Health Centre at Sefako Makgatho Health Sciences University. South African Dental Journal 71:489-49
  21. Milicevic M (2017) Mixed radiopaque and radiolucent jaw lesions. Revue medicale de