Home About Us Contact Us

Official Journals By StatPerson Publication

Table of Content Volume 9 Issue 2 - February 2019


 

Role of diffusion weighted imaging and apparent diffusion coefficient in diagnosing abdominal and pelvic pathologies in 3T MRI:

A retrospective cross-sectional study

 

Aswathi Prakash1, Adarsh K. M2*, Devadasa Acharya K3, Ravichandra G4, Vinayaka U S5

Jomon Sunny6

 

1Postgraduate, 2Assistant Professor, Department of Radiodiagnosis, Yenepoya Medical College, Mangalore, Karnataka, INDIA.

Email: adiarticles@gmail.com

 

Abstract               Background: Diffusion weighted imaging (DWI) and Apparent Diffusion Coefficient (ADC) mapping have been widely used for various applications in neuro imaging, but not exploited enough in abdominal imaging in the present clinical scenario. So, our aim was to identify the specificity of DWI and ADC mapping in characterizing and abdominal or pelvic pathology as benign or malignant and its accuracy as an alternate imaging technique in patients whom MR contrast is contra indicated. Material and methodology: A Retrospective Cross-sectional Study was conducted by collecting secondary data from patients with abdominal or pelvic pathology who had undergone Plain MRI Abdomen or MRI pelvis including DWI and ADC sequences over a period of 9 months in our department of Radiodiagnosis. The MRI final diagnoses were correlated with the histo-pathological reports for all except simple cystic lesions. The ADC values were documented for each case. The Frequency, Percentage, Range, sensitivity, specificity, Positive Predictive Value, Negative Predictive Value and over all Accuracy of the study comparison were calculated using Fishers exact test. Results: Out of the 40 cases included in the study, 22 diagnosed cases of malignant lesions in MRI were confirmed to be malignant in histopathological correlation and 13 out of 14 cases which were diagnosed to be benign were confirmed the same on histopathological correlation. In our study we found that ADC values for diagnosed malignant lesions were in the range of 0.43x10-3 – 0.74x10 -3mm2/sand that for the benign lesions were between 0.79x10-3 – 1.34x10 -3mm2/s and that for simple cystic lesions were in the range of 2.4x10-3 -3.1x10-3mm2/s. Conclusion: Diffusion weighted imaging - Apparent diffusion coefficient mapping has high accuracy in characterizing a pathology as benign or malignant and is highly beneficial in patients whom MR contrast study is contra indicated.

Key Word: Radiology, DWI, ADC, 3T MRI, Abdomino-pelvic, Pathology.

 

 

 

 

INTRODUCTION

Diffusion-weighted imaging (DWI) is one of the magnetic resonance imaging (MRI) sequences providing qualitative as well as quantitative information at a cellular level. It has been widely used for various applications in the central nervous system. Over the past decade, various extracranial applications of DWI have been increasingly explored, as it may detect changes even before signal alterations or morphological abnormalities become apparent on other pulse sequences. Diffusion is the constant and uninhibited random Brownian motion of water molecules. Diffusion of water at the molecular level in biological tissues is modified and limited by interactions with cell membranes and macromolecules.1,2 Magnetic resonance imaging (MRI) diffusion weighted imaging (DWI) uses the differences in the motion (diffusion) of water molecules in extracellular and intracellular fluid and vascular fluids to produce image contrast, with no need for exogenous contrast materials1. This imaging technique provides both qualitative and quantitative information at the cellular level with regards to tissue cellularity and cell membrane integrity and is hence considered a form of functional imaging.1,3 Diffusion is inversely related to cellularity, cell membrane integrity and lipophilicity.1,3Restricted (or impeded) diffusion is observed in tissues with high cellularity, e.g., tumors, abscesses, fibrosis and cytotoxic edema. Relatively free or unimpeded diffusion is found in tissues with low cellularity or disrupted cell membranes, such as cysts and necrotic tissues.4,5 DWI is based on T2-weighted imaging. For most clinical uses, a symmetrical pair of diffusion-sensitizing (bipolar) gradients is applied around the 180° refocusing pulse of a standard T2-weighted sequence. The phase shift induced by the first diffusion gradient in static water molecules is subsequently rephased by the second diffusion gradient. Hence, in static tissue, there is no significant change in measured signal intensity. In contrast, moving water molecules are not rephrased by the second gradient (due to motion), resulting in signal loss. Thus, motion and signal loss are proportional and motion of water molecules is detected as a reduction in measured signal intensity.1,3 The sensitivity of DWI to water motion is determined by the b value (mm2 /s), which reflects the influence of the diffusion sensitizing gradients and can be altered by changing gradient amplitude, gradient duration and time interval between the paired gradients. For a meaningful interpretation, DWI needs to be performed using at least two b values: b = 0 mm2 /s and b = 100 to 1000 mm2 /s.1,3 The relative change in DWI signal intensity at different b values can be used to characterize tissues on the basis of differences in water diffusion. Observed DWI signal intensity depends not only on water diffusion, but also on T2 relaxation time (so-called “T2 shine through” effect). “T2 shine-through” effect can result in high signal intensity on high b value DWI images without impeded diffusion. The logarithm of relative signal intensity of tissue (signal decay) on the y-axis against the b values on the x-axis results in a line (exponential function). The slope of this line represents the Apparent Diffusion Coeffiecient (ADC). ADC is a quantitative measure of tissue diffusivity and is expressed in (× 10-3) as mm2 /s. This graphical fit can be improved by using multiple b values to reduce error involved in the calculation and mono exponential and multi exponential modeling of signal decay. Average ADC value is determined by drawing an electronic region of interest (ROI) on an ADC map image generated on the scanner. Decreased ADC values compared to normal tissue indicate restricted (or impeded) diffusion.3 Conversely, increased ADC values suggest increased diffusivity. DWI has been shown to be sensitive to the microenvironmental changes in tumors at the molecular level that result from treatment and, thus, may be able to predict early tumor response to chemotherapy or radiotherapy.3 DWI has also demonstrated the ability to detect recurrent disease earlier than conventional MRI and CT imaging. DWI appears to be a useful adjunct for the detection of metastatic sites of neoplasm, including otherwise subtle and difficult to detect lesions on routine abdomen MRI examinations, both at the time of initial diagnosis and at follow-up after treatment.3

 

METHODOLOGY

A Retrospective Cross-sectional Study was done by acquiring secondary data from all Cases with abdominal or pelvic pathology who had undergone MRI Abdomen or MRI pelvis including DWI and ADC sequences over a period of 9 months in our department of Radiodiagnosis using GE Sigma Pioneer 3T MRI machine. For the same, continuous sampling was done and 40 cases were obtained. Cases with abdominal or pelvic masses with no definitive histopathology diagnosis and cases in which appropriate MRI sequences were not obtained were excluded from the study. Imaging sequences included in MR abdomen and pelvis (plain study): Axial T1, Axial T2, Axial T1 FS, Axial T2 FS, Axial STIR, Axial T2 FSE, Coronal T2 FSE, Coronal STIR, Sagittal T2, DWI and ADC. For contrast enhanced MRI – Additional Axial T1+Gado FS and Sagittal T1+Gado FS sequences were taken.


 

Table 1: MRI Protocol for DWI sequence

PARAMETER

DESCRIPTION

 

Patient disposition

Free breathing

 

Repitition Time (msec)

2000-2500 (abdomen), 6000(pelvis), 2168(prostate)

 

Echo time (msec)

minimum 50-80

 

Field of view (cm)

30-40 (abdomen), 40-50(pelvis), 12-24 (prostate)

 

Section /gap width(mm)

4

 

Fat Suppression

T2 FS, STIR*

 

Matrix

80x128

 

b values (sec/mm2)

0, 500, 700 (abdomen),

0,700 (pelvis)

0, 500, 700, 1000(prostate)

 

*STIR- SHORT TAU INVERSION RECOVERY


RESULTS

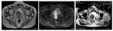
Total 40 cases were included in our study. Out of which 24 patients were females and 14 were males within the age group of 22 ro 67yrs.Out of the 40 cases which were included in the study, we had included minimum 2 cases each , diagnosed as hepatocellular carcinoma (Fig 1-A,B,C), carcinoma pancreas (Fig 2- A,B,C), carcinoma rectum (Fig 3-A,B,C), carcinoma ovary, carcinoma cervix (Fig 4- A,B,C), carcinoma prostate, cholangio carcinoma, renal cell carcinoma, adrenal metastasis, lymph nodal deposits, liver metstasis, adrenal adenoma (Fig 5-A,BC), benign ovarian neoplasm, crohns colitis, pyonephrosis, xanthogranulomatous cholecystitis, cholangitic abcess (Fig 7-A,B,C), leiomyoma, hydatid cyst (Fig 6-A,B,C), hepatic abscess, pseuodocyst of pancreas (Fig 8-A,B,C), ovarian simple cyst (Fig 9), simple hepatic cyst, simple renal cortical cyst. One case included was a post chemotherapy evaluation of non hodgkins lymphoma using whole body diffusion weighted imaging. In the DWI sequence, areas of restriction in the lesion were assessed and corresponding ADC values were recorded for each case. The final diagnosis given in each noncontrast MRI cases were compared with the final histopathological diagnosis. In benign lesions, the simple cystic lesions showed T2 shine through phenomenon. T2 shine through refers to high signal on DWI images that is not due to restricted diffusion but rather to high T2 signal which shines through to the DWI image (Fig 9).It occurs because of long T2 decay time in some normal tissue. Here the ADC maps will show normal or high signal in contrary to ADC reversal, seen in the case of true diffusion restriction4(Table 2).

 

Table 2: MRI signal charecteristics in each lesion

 

Present

Absent

Diffusion restriction

28(70%)

12(30%)

ADC Reversal

28(70%)

12(30%)

T2 shine through

4(10%)

36(90%)

Out of the 40 cases which were included in our study, 22cases were diagnosed as malignant and 18 cases were diagnosed as benign pathologies in MRI. All the 22 cases which were reported malignant, were confurmed the same on histopathological correlation (Table 3). All the malignant lesions showed diffusion restriction with corresponding ADC reversal. (Table 4). Hitopathological examination of only 14 lesions which were characterised as benign in MRI evaluation was carried out as the rest of the 4 cases were simple cystic lesions which showed similar signal intensities in MRI. However, out of the 14 benign cases which correlated histopathologically, one of the case which was diagnosed as benign lesion of liver in MRI, turned out to be hepatocellular carcinoma on histopathological examination and rest were all confirmed as of benign etiology (Table 3).


 

Table 3: Histopathological comparison of diagnosis made in Plain MRI study

 

Histo-pathological Diagnosis

Malignant

Benign

Plain 3T MRI Study

Malignant

22

0

Benign

1

13

 

Table 4: Diffusion restriction characteristics in each lesion

 

Histo-pathological diagnosis

P value

Malignant

Benign

 

Diffusion restriction

Present

22

6

P=0.000<0.001, HS

 

Absent

0

12

 

In our study we found that ADC values for diagnosed malignant lesions were in the range of 0.43x10-3 – 0.74x10 -3mm2/sand that for the benign lesions were between 0.79x10-3 – 1.34x10 -3mm2/sand that for simple cystic lesions were in the range of 2.4x10-3 -3.1x10-3 mm2/s (Table 5).

 

Table 5: Range of ADC values of lesions included in the study

Type of Lesion

Range of ADC value

Malignant

0.43x10-3 – 0.74x10 -3mm2/s

Benign

0.79x10-3 – 1.34x 10 -3mm2/s

Simple Cystic

2.4x10-3 -3.1x10-3mm2/s

 

Table 6: Frequency, Percentage, Range, Sensitivity, Specificity, Positive Predictive Value, Negative Predictive Value and over all accuracy of the study calculated using Fishers exact test.

Confidence Interval

 

Percentage(%)

Lower(%)

Upper(%)

 

Sensitivity

95.65

87.32

100.00

Specificity

100.00

100.00

100.00

PPV

100.00

100.00

100.00

NPV

92.86

79.37

100.00

Overall accuracy**

97.22

91.85

100.00

P=0.000<0.001, HS

 

1

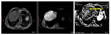
Figure 1.A, B, C: A heterogeneous mass lesion in liver in T2eSSFSE (A) showing areas of diffusion restriction (B)and corresponding areas of ADC reversal (C). The case was diagnosed as malignant neoplasm of liver. On HPE it was proved to be hepto cellular carcinoma.

 

2

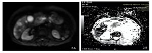
Figure 2 A, B: A case diagnosed as malignant neoplasm of head of pancreas showing areas of diffusion restriction on DWI sequence (A) and corresponding areas of ADC reversal (B).

 

3

Figure 3.A, B: A case diagnosed as malignant neoplasm of rectum showing areas of diffusion restriction on DWI sequence (A) and corresponding areas of ADC reversal (B) with ADC value of 0.68x10-3mm2/s.. On HPE, the case was confirmed to be adenocarcinoma of rectum.

4

Figure 4-A, B, C: A case diagnosed as malignant neoplasm of cervix showing altered signal intensity mass lesion in the cervix showing hyperintense signal intensity on T2eSSFSE sequence (A)with areas of diffusion restriction on DWI sequence (B) and corresponding areas of ADC reversal (C).. On HPE, the case was confirmed to be adenocarcinoma of cervix.

 

5

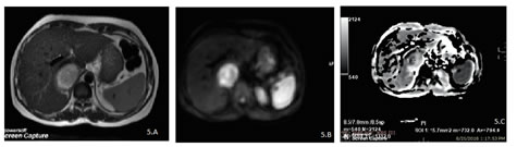
Figure 5-A, B, C: – A case diagnosed as benign neoplasm of right adrenal gland showing mildly hyperintense mass lesion in the right adrenal on axial T2eSSFSE sequence (A)with areas of diffusion restriction on DWI sequence (B) and corresponding areas of ADC reversal (C) with ADC value of 0.79x10-3mm2/s. On HPE, the case was confirmed to be adrenal adenoma.

6 

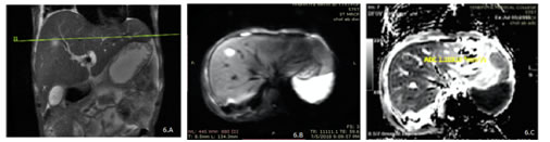
Figure 6-A, B, C: – A case of cholangitic abscess showing hyperintense lesion in the right lobe of liver on coronal T2eSSFSE sequence (A)with areas of diffusion restriction on DWI sequence (B) and corresponding areas of ADC reversal (C).

 

7

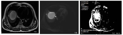
Figure 7-A, B, C: – A case of hydatid cyst of liver. Well defined hyperintense lesion in the right lobe of liver on axial T2eSSFSE sequence (A)with T2 shine through phenomenon on DWI sequence (B) and hyperintense signal intensity on ADC sequence.

8

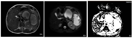
Figure 8-A, B, C: – A case of pseudocyst of pancreas. Well defined heterogeneous signal intesity lesions in the region of body and tail of pancreas on axial T2eSSFSE sequence (A)with T2 shine through phenomenon on DWI sequence (B) and hyperintense signal intensity on ADC sequence.

9

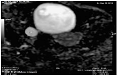
Figure 9: Right ovarian cyst showing ADC value of 2.9x10-3mm/s2

DISCUSSION

DWI and ADC sequences provide accurate information about the functional environment of water in tissues, and thereby augmenting the morphologic information provided by conventional MR imaging. The changes detected include water shifts from extracellular to intracellular spaces, cellular membrane permeability restriction, increased cellular density, and disruption of cellular membrane depolarization. These findings are commonly associated with malignancies; therefore, diffusion-weighted imaging has many applications in oncologic imaging, providing functional information to complement the excellent anatomic detail provided by MR imaging, and thereby aiding in tumor detection and characterization and in the prediction and assessment of response to therapy1. The application of DWI in whole-body imaging has gained more popularity with new technical developments in magnetic resonance imaging, including multichannel coils, echo planar imaging, and stronger gradients 6. This has lead to reduction in the time required for diffusion-weighted imaging to less than 1 minute. Hence, these sequences can be regularly added to the imaging protocol without any significant increase in overall acquisition time. Another benefit of diffusion-weighted imaging is its use of inherent tissue contrast; hence, no exogenous contrast material is required6. The sensitivity of our study was 95.65%, specificity was 100%, positive predictive value was 100%, negative predictive value was 92.86% with over all accuracy of 97.22% and P value of 0.000<0.001,HS.

 

CONCLUSION

DWI hasbeen generously used in diagnosing brain pathologies but is only relatively less used in case of abdomino –pelvic pathology. It has a beneficial role in diagnosing abdomino-pelvic pathologies like characterizing the lesion as benign or maignant, for staging previously known malignancies, for assessing response to treatment and also to identify recurrence of the disease. DWI and its corresponding ADC sequence serves as a boon in diagnosing pathologies in patients whom MR contrast is contraindicated. Our study has proven that the rate of accuracy in characterizing a pathology as benign or malignant is as good as contrast study.

REFERENCES

  1. Koh DM, Collins DJ. Diffusion-weighted MRI in the body: Applications and challenges in oncology. Am J Roentgenol. 2007;188(6):1622–35.
  2. Kwee TC, Takahara T, Ochiai R, Nievelstein RAJ, Luijten PR. Diffusion-weighted whole-body imaging with background body signal suppression (DWIBS): Features and potential applications in oncology. Eur Radiol. 2008;18(9):1937–52.
  3. Kele PG, van der Jagt EJ. Diffusion weighted imaging in the liver. World J Gastroenterol. 2010;16(13):1567–76.
  4. Qayyum A. Diffusion-weighted imaging in the abdomen and pelvis: concepts and applications. Radiographics. 2009 Oct;29(6):1797-810.
  5. Malayeri AA, El Khouli RH, Zaheer A, Jacobs MA, Corona-Villalobos CP, Kamel IR, Macura KJ. Principles and applications of diffusion-weighted imaging in cancer detection, staging, and treatment follow-up.Radiographics. 2011 Oct 4;31(6):1773-91.