Home About Us Contact Us

Official Journals By StatPerson Publication

Table of Content Volume 9 Issue 2 - February 2019



Magnetic resonance imaging of brain in evaluation of pediatric seizure disorder

 

Pankaj Ahire1*, Akshay Chikar2

 

1,2Consultant Radiologist, Department of Radiology, Dr. Hedgewar hospital, Jawahar colony, Aurangabad, Maharashtra-431001 INDIA.

Email: pankajahire172@gmail.com

 

Abstract               Background: The clinical manifestation and type of seizure disorder varies with age and neurodevelopmental maturity status. MRI is the technique of choice to identify underlying cause in partial seizures. It increases the detection rate of certain intracranial lesions especially those of vascular nature and those involving the meninges. Aim: To evaluate the magnetic resonance imaging of brain in evaluation of pediatric seizure disorder. Material and Methods: A total of 75 paediatric patients (age under 12 years) presented with generalized or partial seizure disorder or absent seizures were evaluated. Patients were subjected to MRI scanning (Philips Achieva 1.5 tesla, 16channel). Final diagnosis was made on radiological features and in inconclusive cases; diagnosis was made by follow up MRI and treatment response. Results: Generalized seizures (68%) were more prevalent than focal seizures(24%). Majority of the patients showed abnormal MRI findings (73.3%). Anoxia and hypoxic- is chemicencephalopathy(41.8%)was them ost common etiology for seizure disorder. Neoplasm comprised 2 patients, DNET and Pilocytic astrocytoma were seen in one patient each. Conclusion: MRI plays an invaluable role in the evaluation of pediatric patients with seizure disorder. Accurate diagnosis of cause of seizure is important for treatment decision.

Key Word: Paediatric patients, Brain, seizures, Magnetic resonance imaging.

 

 

INTRODUCTION

A sudden, paroxysmal electrical discharge from the central nervous system (CNS) resulting in involuntary motor, sensory or autonomic disturbances with or without alteration in sensorium is known as ‘seizure.’1The clinical manifestation and type of seizure disorder varies with age and neurodevelopmental maturity status. About 5% children are at risk of experiencing a seizure and half of them encounter the first seizure during infancy. Due to the risks of radiation exposure in infants and young children, CT has been replaced by magnetic resonance imaging (MRI) in the elective workup of childhood epilepsy.2 MRI is the imaging modality of choice due to its ability to depict neuroanatomy, excellent gray white matter differentiation, status of myelination and detection of focal structural brain lesions.3 MRI is the technique of choice to identify underlying cause in partial seizures. It increases the detection rate of certain intracranial lesions especially those of vascular nature and those involving the meninges. The present study was conducted to evaluate the magnetic resonance imaging of brain in evaluation of pediatric seizure disorder.

 

MATERIAL AND METHODS

A hospital based prospective observational study Patients with seizures, referred for MRI brain in radiology department, Dr. Hedgewar Rugnalaya, Aurangabad. In our study 75 patients were evaluated. All patients were seen by appointment, except for the emergency cases. Ethical clearance was obtained from the Research Committee and Ethical Committee of the institution for this study.

Inclusion criteria

  • All pediatric patients (age under 12 years) presented with generalized or partial seizure disorder or absent seizures.

Exclusion criteria

  • Patients not willing for MRI.
  • Patients unfit for MRI with regards to anaesthesia considered contraindicated for MR imaging.
  • Poor general condition of patient with life support.

Informed written consent was taken from parents/accompanying relatives. Then patient was screened for ferromagnetic objects. Complete clinical history, birth and vaccination history, family history and past history of patient was noted. The points noted were type of seizure, duration of illness and any associated complaints. Physical examination findings as for evidence of any neurocutaneous stigmata and complete CNS examination findings were noted. Biochemical investigations like complete blood profile, liver and renal function tests, blood glucose levels, blood electrolytes levels as advised by physician were noted. Other laboratory parameters like Biochemical levels for leukodystrophies, serological studies for in fections, CSF examination were done. Findings of EEG and CT scan if done were documented. Few cases had EEG documentation which was correlated with imaging findings. Patients were subjected to MRI scanning (Philips Achieva 1.5 tesla, 16channel). When necessary, adequate sedation was given by the anesthetist. Conventional MR imaging was performed by taking T1 weighted (TE 8.0ms, TR 480 ms), T2 weighted (TE 102.9 ms, TR 4780 ms), and FLAIR (TE 92.2 ms, TR 8002 ms) sequences in planes as mentioned below. Post gadolinium(dose0.1mmol/kg) enhanced MRI was performed inaxial, coronal and sagittal planes in selected cases depending on findings on non-contrast study or clinical suspicion. DWI and GRE (Gradient recalled echo) axial performed in all cases. When required, MR spectroscopy, MR venography and MR angiography including TOF was done. Pulse sequences and imaging planes: T1 sagittal, axial pre contrast and post contrast, T1 W coronal post contrast. T2 axial and coronal FLAIR axial coronal DWI (Diffusion weight edimaging) axial GRE (Gradient recalled echo) axialT1 inversion recovery sequence. MRS pectroscopy, MR venography and MR angiography including TOF if required. Final diagnosis was base don radiological features and in inconclusive cases; diagnosis was made by follow up MRI and treatment response. MRI Brain findings were noted and recorded.

 

RESULTS

This study included MRI brain evaluation of 75 cases of pediatric patientsaged0-12 years who presented with seizures from May 2017 to May 2018.The study was carrie dout prospectively in the department of Radiology, intertiaryc are centre. Out of 75 patients, 41 patients (54.7%) were in the age group of 0-3 years, 15 patients (20%) were in the age group of 4-6 years, 12 patients (16%) were in the age group of 7-9 years while 7 patients (9.3%) were in the age group of 10-12 years. Most of the patients in the study were in the age group of 0-3 years followed by 4-6 years. A total of 51 patients (68%) were males and 24 patients (32%) were females. Most of the patients in the study were males followed by females with Male: Female ratio 2.1:1. Classification of different types of seizure disorders was done according to the seizure type based on recommendations of ILAE. Out of 75 patients, 51 patients (68%) presented with generalized seizures, 18 patients (24%) presented with focal seizures while 6 patients (8%) had an unknown onset. In our study, most common seizure type was generalized seizures. Outof75patientsstudied,55patients (73.3%) had positive findings on MRIwhile20patients (26.7%) had normal MRI with no detectable lesions.


 

Table 1: Proportion of abnormal MRI in various types of seizures

Type of Seizure

Proportion of cases showing MRI Abnormality

Total cases of Seizures

Percentage (%)

Generalized

36

51

70.6

Focal

16

18

88.9

Unknown

3

6

50

Total

55

75

73.3

In the study, anoxia and hypoxic ischemic encephalopathy (HIE) comprised 23 patients (41.8%). Malformations of cortical development (MCD) was seen next in 11 patients (20%) followed by miscellaneous causes in 7 patients (12.7%), infection comprising of 4 patients (7.4%). Phakomatoses constituted 3 patients (5.5%). Mesial temporal sclerosis and inherited metabolic disorders and neoplasm constituted 2 patients each (3.6%).Vascular causes constituted only one patient (1.8%).Thus, most common etiology in our study was anoxia and hypoxic ischemic encephalopathy followed by malformations of cortical development.

Table 2: Distribution according to type of etiology on MRI (n=55)

Type of etiology

No. of patients

Percentage

Mesial temporal sclerosis

2

3.6%

Malformations of cortical development

11

20%

Phakomatoses

3

5.5%

Inherited metabolic disorders

2

3.6%

Anoxia and hypoxic ischemic encephalopathy

23

41.8%

Infection

4

7.4%

Neoplasm

2

3.6%

Vascular

1

1.8%

Miscellaneous

07

12.7%

Total

55

100%

In our study, mesial temporal scleros is was found in 2 patients. Among them, hip pocampalatrophy and secondary changes (temporal horn dilatation) were present

 

1

Figure 1: A case of left mesial temporal sclerosis. FLAIR coronal images shows hyperintensity in left hippocampus and corresponding altered morphology of left hippocampus on TIW inversion recovery.

 

in both patients. Loss of hippocampal architecture and hippocampal T2, FLAIR hyperintensity were present in both patients (100%). Persistent peritrigonalhyperintensities on T2W and FLAIR images were present in one patient and chronic ischemic foci in bilateral cerebellar, occipital parenchyma and periventricular white matter were present in one patient. Malformations of cortical development constituted 11 patients presenting with seizures. Out of them, Focal cortical dysplasia (FCD) was seenin8patients (72.7%). Corpuscallosaldysgenesis/agenesis(CCD/CCA), polymicrogyria and heterotopia constituted 3 patients (27.3%) each. Pachygyria and hemimegalencephaly (HMEG)constituted 2 patients (18.2%)while microcephaly constituted there mainder with1patient(9.1%). Five patients had multiple pathologies. One had unilateral perisylvian cortical dysplasia with polymicrogyria (Congenital unilateral perisylvian syndrome). One had Joubert syndrome, heterotopia and pachygyria. One patient had heterotopia, corpus callosum dysgenesis, focal corticaldysplasia and hypoxic is chemicencephalopathy. One patient had heterotopia, polymicrogyria, corpus callosum dysgenesis and hemimegalencephaly (HMEG). One patient had hemimegalencephaly (HMEG), agyria-pachygyria with polymicrogyria. Thus, Focal cortical dysplasia (FCD) was the most common pathology in patients with malformations of cortical development.

2

Image 2: A case of unilateral perisylvian syndrome.T1W inversion recovery coronal image showing polymicrogyria andT2W axial image shows broad right perisylvian cortex

Out of 3 patients with phakomatoses, 2 patients (66.7%) had tuberous sclerosis (TS). 1 patient had Sturge Weber syndrome (SWS). Thus, tuberous sclerosis (TS) was the most common pathology in patients with phakomatoses. Out of 2 patients with inherited metabolic disorders, neuronal ceroid lipofuscinosis and Zellweger syndrome constituted 1 patient (50%) each. Anoxia and HIE was the cause of seizures in 23 patients in our study. Out of them, 7 patients (30.4%) and 16 patients (69.6%) were preterm and term respectively based on the clinical information licited. Theneuro imaging findings in HIE mainly comprised of periventricular leukomalacia, gliosis/encephalomalacia with cystic changes, basal ganglia and thalamic lesion and only subcortical white matter involvement. Most of the patients had multiple findings. Periventricular leukomalacia was the most common finding seen in 17 patients (73.9%) followed by gliosis/encephalomalacia with cystic changes was seen in 13 patients (56.5%). Basal ganglia and thalamic lesion wereseenin9patients (39.1%). Rare finding of only subcortical white matter involvement was seen in only 1patient. Thus, in our study, most commonneuro imaging finding in patients with anoxia and HIE was periventricular leukomalacia

 

3

Image 3: A case of cystic encephalomalacia with periventricular leukomalacia. T2W axial image shows cystic changes in cortex which are suppressed on FLAIR and paucity of periventricular white matter.

 

In our study, the cause of seizures in 4 patients was infection use tiology. Encephalitisin3patients (75%) and meningoencephalitisin1patient (25%). Thus, in our study, most common pathology in patients with infectious etiology was encephalitis followed by meningoencephalitis. In our study, 3 patients were found to have encephalitis. Out of them, 2 patients (66.7%) had basal ganglia/thalamic lesions. 2 patients (66.7%) demonstrated temporal lobe lesions. Frontal and parietal lobe lesions and cerebellarandbrainstemlesionswereseenin1patient (33.3%) each. Most common neuroimaging finding in patients with encephalitis was basal ganglia/thalamic lesions and temporal lobe lesions. Neoplasm comprised 2 patients in our study. DNET and Pilocytic astrocytoma were seen in 1 patient (50%) each.

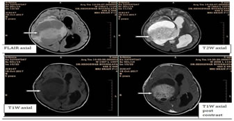
4

Image 4: Large solid cystic lesion and solid part showing post contrast enhancement. A case of pilocyticastrocytoma.

Vascular etiology was responsible for seizures in 1 patient who had arterial infarct (excluding tuberculous). In our study, none of the patient had venous infarct, arterio venous malformation or cavernous angioma with developmental venous anomaly. In our study, the most common pathology in vascular etiology was arterial infarct.7 patients were grouped under miscellaneous causes. Out of them 3 patients (42.9%) had thickening orthinning of the corpuscallosum.2patients (28.6%) had mild cerebellar atrophy. Leukoencephalopathy, herniation of cerebellar tonsil through foramen magnum, dilated VR space and bilateral choroid plexus cysts seen in 1 patient (25.0%) each. 1 patient had multiple findings of mild cerebellar atrophy, thinning of the corpus callosum and bilateral choroid plexuscysts.


DISCUSSION

In our study of 75 patients, maximum number of patients, 69.3% presented with generalized seizures. Our study correlates with the study done by Rasool A et al in which generalized seizures constituted the major seizure group being present in as many as 42% of patients.4Our study also correlates with the study done by Chaurasia R et al in which generalized seizures accounted for the major number of patients seen in 76.7%.5 In this study of total 75 patients, 55 patients (73.3%) had abnormal MRI findings. Our study is comparable with the study done by Kuzniecky R et al in which MRI revealed abnormalities in 84% of patients.6 In our study, MRI abnormality was detected in 88.9% patients having focal seizures, 70.6% patients having generalized seizures and 50% patients having unknown onset. Our study is comparable to Khodapanahandeh et al study, in which they found a significant relationship between abnormal neuroimaging and focal seizure.7 In our study, 41.8% patients had anoxia and hypoxic ischemic encephalopathy followed by malformations of cortical development which were seen in 20.0 % of patients. 12.7% patients had miscellaneous causes. Infection constituted 7.4% patients followed by phakomatoses in 5.5% patients. Mesial temporal sclerosis, inherited metabolic disorders and neoplasms constituted 3.6% patients each and least common etiology was vascular causes which constituted 1.8% patients. In NK Rollins et al study, out of 15 patients, five patients had focal ischemic injury of the cerebral hemispheres and/or basal ganglia and brain stem. Six patients had diffuse cerebral edema, of these; five had basal ganglia edema; one had brain stem edema. One patient had superior sagittal sinus thrombosis with venous infarcts. Three patients had normal MRI studies.8In Leth H et al study, MRI was positive in 68% patients. The study revealed hypoxic-ischemic etiology as the major cause of seizures in 35%, hemorrhagicetiology in 26%, metabolic disturbances and cerebral dysgenesis in 16% and unknown cause in 23%.9Our study is comparable with the above-mentioned studies and shows hypoxic ischemic encephalopathy as the most common etiology in pediatric seizure disorder. In our study, out of 2 patients with mesial temporal sclerosis, hippocampal atrophy and secondary change (dilatation of temporal horn), loss of hippocampal architecture and hippocampal T2, FLAIR hyperintensity was found in 100% patients.Our study is in discordance with Ng YT et al study , in which out of 24 patients with mesial temporal sclerosis, hippocampal T2 hyperintensity was seen in 20 patients (83.3%), hippocampal atrophy in 19 patients (79.2%), loss of hippocampal architecture in 13 patients (54.2%) and secondary change (decreased hippocampal T1-weighted signal) in 3 patients (12.5%). In our study, hippocampal atrophy and secondary change (dilatation of temporal horn) was seen in all patients of mesial temporal sclerosis.10 In our study, 11 patients had malformations of cortical development. Focal cortical dysplasia was the most common in 8 patients (72.7%). Corpus callosal dysgenesis/agenesis, polymicrogyria and heterotopia constituted 3 patients (27.3%) each. Pachygyria and hemimegalencepahly constituted 2 patients (18.2%) while microcephaly constituted the remainder with 1 patient (9.1%). 5 patients (45.5%) had multiple pathologies. Our study correlates with study done by Mittal GK et al, in which out of 54 patients with malformations of cortical development, focal cortical dysplasia was the most common seen in 16 patients (29.6%), followed byschizencephaly in 8 (14.8%), polymicrogyria in 8 (14.8%), DNET in 6 (11.1%),lissencephaly in 5 (9.3%), ganglioglioma in 3 (5.6%), heterotopia in 3 (5.6%), hemimegalencephaly in 2 (3.7%) , cortical hamartomas of tuberous sclerosis in 2 (3.7%) and mixed lesion in 1 (1.8%).11Our study does not correlate with the study done by Sadek AA et al, in which out of 50 patients with malformations of cortical development, lissencephaly was most common found in 42%, followed by bilateral schizencephaly in 16%, unilateral schizencephaly in 12 %, polymicrogyria in 12 %, focal cortical dysplasia in 10%, periventricular heterotopia in 6% and subcortical laminar heterotopia in 2%.12Our study also does not correlate with study done by Gungor S et al, who studied 101 patients with malformations of cortical development and found polymicrogyria to be the most common in 54 (53.4%). Next to it was lissencephaly in 23 (22.7%), schizencephaly in 12 (11.8%) and heterotopia in12 (11.8%).13Our study also does not correlate with study done by Mathew T et al, in which multiple abnormalities were most common (31%), the most common being a combination of pachygyria and heterotopia.14Thus, we can conclude that there are significant differences as regards to the most frequent pathology in malformations of cortical development in various studies published in literature. Our study had 3 patients of phakomatoses, 2 (66.7%) had tuberous sclerosis and Sturge Weber syndrome in 1 (33.3%). Our study does not correlate with study done by Dietrich RB et al, in which neuroimaging study of 29 patients with medically intractable seizures was done. The study included other studies than MRI for neuroimaging and neurophakomatoses was the etiology in 5 (17.4%) patients. In the study, most common phakomatoses was Sturge Weber syndrome seen in 3 patients (60.0%), tuberous sclerosis in 1(20.0%) and neurofibromatosis in 1(20.0%).15 In our study, anoxia and HIE was seen in 23 patients. 7 patients (30.4%) were preterm and 16 patients (69.6%) were term. Among the neuroimaging findings, most common was leukomalacia/deep white matter involvement was seen in 17 patients (73. 9%), followed by gliosis/encephalomalacia with cystic changes in 13 patients (56.5%), basal ganglia and thalamic lesions in 9 patients (39.1%) and subcortical white matter involvement only in 1 patient (4.3%). Our study does not correlate with study done by Alam A et al, in which 45 children with history of perinatal asphyxia were studied with MRI. Most common finding in this study was hemorrhage seen in 16 patients (35%) followed by periventricular leukomalacia in 13 patients (28.8%). This could be due to maximum cases of hemorrhage being diagnosed on ultrasound screening in patients with history of perinatal asphyxia in our department and thus less referral for MRI.16 In our study, only 2 patients had imaging findings of inherited metabolic disorders with neuronal ceroid lipofuscinosis seen in 1 patient (50.0%) and Zellweger syndrome in another (50.0%) patient. No comparable data was available as to the most frequent pathology in inherited metabolic disorders causing pediatric seizures. In our study, infectious etiology was seen in 4 patients in which most common was encephalitis found in 3 patients (75%), followed by meningoencephalitis in 1 patients (25%). In Gulati P et al study, out of 158 patients with structural abnormalities on MRI, tuberculoma was the commonest lesion present in 40% followed by neurocysticercosis in 17%.17 and out of 345 patients with abnormal MRI, tuberculoma was the most common etiology and was seen in 98 (28.4%), followed by neurocysticercosis in 86(24.9%).17In Chaurasia R et al study, most common cause of seizures was CNS tuberculosis (30.3%), followed by neurocysticercosis (11.0%) and encephalitis (7.9%).5Our study does not correlate with the above mentioned studies. In our study, encephalitis was found in 3 patients. Out of them, basal ganglia / thalamic lesions and temporal lobe lesions were seen in 66.7% each, followed by frontal and parietal lobe lesions in 33.3% each, No comparable data was available as to the most frequent imaging finding in encephalitis causing pediatric seizure disorder. Out of total 55 abnormal MRI, neoplasm was seen in 2 (3.6%) patients. DNET and pilocytic astrocytoma were seen in 1 patient (50%) each. Our study is in concordance with Khalid Ibrahim et al study, in which total 81patients with tumors were studied, only 10 patients (12.3%) presented with seizures. Most of the tumors were low-grade gliomas or astrocytomas. One patient each had DNET, primitive neuroectodermal tumor and oligodendroglioma.18 In our study, neuroimaging findings were suggestive of vascular cause in only 1 patient. Arterial infarct (excluding tuberculous) was seen in this patient. Our study does not correlate with the study done by Wongladarom S et al, in which vascular disorder was responsible for seizures in 5 patients (5%). Out of them, 2 patients (40%) had Moya moya disease, 1 patient (20%) had cavernous angioma, 1 patient (20%) had arteriovenous malformation and the remaining 1 patient (20%) had bilateral carotid occlusion.19Our study also does not correlate with Pilarska E et al study, in which out of 20 patients with cerebrovascular anomalies, the most common pathology was arterio venous malformation found in 13 patients (65%).20

 

CONCLUSION

MRI plays an invaluable role in the evaluation of pediatric patients with seizure disorder. Accurate diagnosis of cause of seizure is important for treatment decision. With its high spatial resolution, excellent inherent soft tissue contrast, multi-planar imaging capability and lack of ionizing radiation; MRI has emerged as a versatile tool in imaging of pediatric patients with seizures. Employing appropriate imaging protocols and reviewing the images in systemic manner helps in the identification of subtle structural abnormalities responsible for seizures.

REFERENCES

  1. Kalra V. Seizure disorder in children. In: IAP Text book of Pediatrics. 3rd ed. New Delhi: Jaypee; 2006. p. 322.
  2. Pellock JM, Bourgeois BF, Dodson E, Nordli DR, Sankar R, editors. Pediatric Epilepsy: Diagnosis and Therapy. 3rd ed. New York: Demos Medical Publishing; 2007. p. 34.
  3. Johnston MV. Seizures in childhood. In: Nelson Textbook of Pediatrics. 18th ed., Vol. 2. Philadelphia, PA: Elseveir; 2008. p. 2457.
  4. Rasool A, Choh SA, Wani NA, Ahmad SM, Iqbal Q. Role of electroencephalogram and neuroimaging in first onset afebrile and complex febrile seizures in children from Kashmir. Journal of Pediatric Neurosciences.2012;7(1):9-15.
  5. Chaurasia R, Singh S, Mahur S, Sachan P. Imaging in pediatric epilepsy: Spectrum of abnormalities detected on MRI. JE vol Med Dent Sci201319:3377-87.
  6. KuznieckyR, Murro A, King D, et al. Magnetic resonance imaging in childhood intractable partial epilepsies: Pathologic correlations. Neurology.1993;43:681–687.
  7. Khodapanahandeh F, Hadizadeh H. Neuroimaging in children withfirst afebrileseizures: to order or not to order. Arch Iran Med.2006Apr;9(2): 156–8.
  8. Rollins NK, MorrissMC, Evans D, Perlman JM. The role of early MR in the evaluation of the term infant with seizures. AJNR Am J Neuroradiol. 1994Feb;15(2):239-48.
  9. Leth H, Toft P, Herning M, Peitersen B, Lou H. Neonatal seizures associated with cerebral lesions shown by magnetic resonance imaging. Archivesof Disease in Childhood Fetal and Neonatal Edition. 1997;77(2): F105-F110.
  10. Ng YT, McGregor AL, Duane DC, Jahnke HK, Bird CR, Wheless JW. Childhoodmesialtemporalsclerosis.JChildNeurol2006;21:512-7.
  11. Mittal GK, Ganguly G, Bhattacharyya KB, Pandit A, Biswas A, Roy A, et al. Epilepsy patients with malformations of cortical development: Experience from atertiary care centre in Eastern India .J Pediatr Neurol 2014;12:117-26.
  12. Sadek AA, Sharaf A E, Abdelkreem EM, Wahed SR. Clinical features of cerebral cortex malformations in children: Astudy in Upper Egypt. OMICS J Radiol2013;2:123.
  13. Güngör S, Yalnizoglu D, Turanli G, SaatçiI. Malformations of cortical development and epilepsy: Evaluation of 101 cases (Part II). Turk J Pediatr 2007; 49:131.
  14. Mathew T, Srikanth SG, Satishchandra P. Malformations of cortical development (MCDs) and epilepsy: experience from a tertiary care centerin south India. Seizure. 2010Apr;19(3):147-52.
  15. Dietrich RB, El Saden S, Chugani HT, Bentson J, Peacock WJ. Resective surgery for intractable epilepsy in children: Radiologic evaluation. Am J Neuroradiol1991; 12:1149-58.
  16. Alam A, Sahu S. Magnetic Resonance Imaging in Evaluation of Periventricular Leukomalacia. Medical JournalArmed Forces India. 2010;66(4):374-380.
  17. GulatiP,JenaA,TripathiRP,GuptaAK.Magneticresonanceimaging inchildhoodepilepsy.IndPediatr1991Jul;28(7):761-5.
  18. Ibrahim, K., Appleton, R. Seizures as the presenting symptom ofbrain tumours in children. Seizure.2004;13:108–112.
  19. WongladaromS,LaothamatasJ,VisudtibhanA,SawatsutP. Magnetic resonanceimaging of the brain in epilepticpediatric patients: Review of the experience in Ramathibodi hospital. J Med Assoc Thai 2004; 87:1092-9.
  20. Pilarska E, LemkaM. Epileptic seizures in the vascular malformations in children. PrzeglLek2005; 63:625-7.

.