Home About Us Contact Us

 

Table of Content - Volume 3 Issue 3- September 2016


 


Adenocarcinoma of gall bladder with a skip lesion in common bile duct- A case report

 

Yoshitha Siripurapu1*, Praveen Kumar Vasanthraj2, Ananda Kumar Balasubramanian3, Venkata Sai4

 

1,2,3,4Resident, Department of Radiology and Imaging Sciences, Sri Ramachandra University, Porur, Chennai, Tamilnadu-600116, INDIA.

Email: yoshitha.siripurapu16@gmail.com

 

Abstract              Background: Malignancies of the gall bladder are uncommon with poor prognosis. The five year survival rate is less than 5% and patients usually present late due to non specific signs and symptoms. Gall bladder carcinoma commonly metastasize with direct spread or lymphnode spread. It is uncommon for a carcinoma of gall bladder to spread into the biliary system with normal intervening segment. Case presentation: We report a case of skip malignant deposit in extrahepatic biliary tree with primary carcinoma involving the fundus and body of the gall bladder and the intrapancreatic portion of the common bile duct (CBD). A 45 year female patient with no comorbidities presented to our department with clinical features of obstructive jaundice, abdominal pain and vomiting. After initial evaluation, radiological investigations were asked revealed. Radiological evaluation revealed asymmetric wall thickening involving the fundus and body of the gall bladder with wall thickening noted involving the intrapancreatic segment of the distal common bile duct (approxiamtely 2-2.5 cm from ampulla). The patient underwent a pancreaticoduodenectomy, and histopathological examination revealed moderately differentiated adenocarcinoma with signet ring cell formation of the gall bladder and the intrapancreatic portion of the CBD. Conclusion: Simultaneous malignancies of the biliary tree have been rarely reported, therefore, it is essential for ideal imaging to maintain a high index of suspicion while evaluating such lesions and to look for the presence of primary tumors or metastasis

Key Words: Adenocarcinoma, biliary malignancies, common bile duct, field cancerization, gall bladder, lymphovascular invasion, skip phenomenon.

 

INTRODUCTION

Primary gallbladder cancers are rare and they often spread via direct invasion or lymphnode. Radiologically malignant appearing biliary strictures with primary carcinoma gall bladder are less reported. It is uncommon for a carcinoma of gall bladder to spread into the biliary system with normal intervening segment. We report a case of primary gall bladder malignancy with a skip lesion in intrapancreatic portion of the CBD which also revealed same histopathology of that of the primary3

 

CASE REPORTS

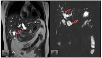
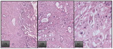
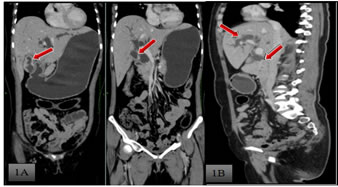
A 45 year old female presented with chief complaints of pain abdomen, non bilious, non projectile vomiting, yellowish discolouration of the skin and eyes with high colouredurine for one month. She also complained of itching over the body. Physical examination revealed presence of icterus and tenderness in the right hypochondrium. A clinical diagnosis of obstructive jaundice was made. No history of any comorbid conditions present with past surgical history of hysterectomy. After routine blood investigations, which revealed increased bilirubin levels, radiological investigations done. Ultrasound of abdomen was performed which showed CBD stricture at the terminal end, grossly thickened gallbladder and peripancreatic lymphadenopathy. Side viewing UGI scopy was done which was normal. To further characterize the ultrasound findings, CECT abdomen was done which showed wall thickening (maximum thickness of 8 mm) noted involving the fundus and body of the gallbladder, irregular and nodular, more on the right lateral aspect with evidence of heterogenous enhancement seen on contrast administration.[Fig-1A] There is no clear fat plane seen between the gall bladder and the liver (segment IV and V), however there is no extension into the liver. Pericholecystic fat stranding seen and minimal pericholecystic fluid seen. Medially it is seen to abut the pylorus of the stomach and first part of the duodenum with no clear fat plane. Posteriorly there are areas of fat stranding seen extending up to the hepatic flexure of the colon. Also there was gross dilatation of the intrahepatic biliary radicles, the common hepatic duct, cystic duct and proximal common bile duct ( measuring 2.4 cm).There is an abrupt tapering at the junction of the mid and distal CBD duct ( just above the intrapancreatic segment) with suggestion of shouldering. [Fig-1B].There is short segment wall thickening (maximum thickness of 4.2 mm) noted in the distal CBD (intrapancreatic segment) for length of approximately 1.7 cm showing enhancement on contrast administration. The distal most CBD and the ampulla were spared. The rest of the intrapancreatic segment of the common bile duct appears normal. This thickening was seen well away from the gall bladder mass. There was no radiological evidence of contiguity noted. MR-Cholangiopancreaticography was done which showed an assymetrical wall thickening involving fundus and body of gall bladder with abuttment of adjacent liver and no infiltration [Fig-2A].Few stranding from the GB wall thickening to the hepatic flexure is seen. Abrupt narrowing with shouldering in the proximal CBD just after insertion of cystic duct and resultant severe upstream dilatation of biliary system [Fig-2B] A pre-operative diagnosis of gall bladder carcinoma with separate CBD involvement was made with possible diagnosis of same primary with skip involvement or synchronous malignancies. Then patient was subjected for pancreaticoduodenectomy [whipples procedure]. Post operative histopathology of the specimens revealed moderately differentiated adenocarcinoma of both gallbladder [Fig-3A] and the distal CBD [Fig-3B]with signet cell formation [15%] [Fig-3C].Margins free of tumour.


Figure 1A: CECT whole abdomen, coronal venous phase shows- Irregular and nodular heterogenous enhancingwall thickening involving the fundus and body of the gallbladder,, more on the right lateral aspect. Medially it is seen to abut the pylorus of the stomach and first part of the duodenum with no clear fat plane. Figure 1B: CECT whole abdomen, sagittal venous phase shows- gross dilatation of the intrahepatic biliary radicles, the common hepatic duct, cystic duct and proximal common bile duct with abrupt tapering at the junction of the mid and distal CBD duct ( just above the intrapancreatic segment) with suggestion of shouldering; Figure 2A: T2 haste MRCP coronal image shows assymetrical wall thickening involving fundus and body of gall bladder with abuttment of adjacent liver and no infiltration; Figure 2B: T2 3D-MRCP shows abrupt narrowing with shouldering in the proximal CBD just after insertion of cystic duct and resultant severe upstream dilatation of biliary system.

Figure 3:


DISCUSSION

Primarygall bladder cancers are rare and they often spread via direct invasion or lymphnode. Radiologically malignant appearing biliary strictures with primary carcinoma gall bladder are less reported Most are thought to be associated with pancreaticobiliary maljunction (PBM) owing to the action of the same carcinogen on the mucosa of the entire extrahepatic biliary system[4].With regard to biliary cancer cases without PBM, the presence of skip phenomenon, poses the question of whether differentiation between independent primary cancers has occurred or different cancer foci have metastasized from a single tumour. From a clinical viewpoint, differentiation between these events is important becausethese two mechanistic origins imply various stages of the disease, as well as different subsequent treatments and prognoses3 There are two competing hypotheses for explaining the pathogenesis of double cancers of the biliary tract - independent primary lesions (multicentric) or metastasis of the original cancer. In reality, however, determining whether double cancers are metastases or independent tumours can prove difficult1 Hirroshige Hori et al, reported a series of four cases of simultaneous double cancers of the biliary tract without PBM and compared several characteristics of these tumours, including immunohistochemical evaluation of CEA, CA 19-9 and p53 over expression, as well as identification of mutations in K-ras. The results reported suggested that most double cancers of the biliary tract have multicentric development, even in the absence of PBM1. Praveer rai et al, reported a case of ampullary carcinoma associated with gall bladder carcinoma2

 

CONCLUSION

Simultaneous malignancies of the biliary tree have been rarely reported, therefore, it is essential for ideal imaging to maintain a high index of suspicion while evaluating such lesions and to look for the presence of primary tumors or metastasis.

 

REFERENCES

  1. Hiiroshige Hori, Tetsuo Ajiki, TsunenoriFujit, Taro Okazaki, YasuyukiSuzuk, Yoshikazu Kuroda and Takahiro Fujimori- Double Cancer of Gall Bladder and Bile Duct not Associated with Anomalous Junction of the Pancreaticobiliary Duct System Jpn J ClinOncol 2006;36(10)
  2. Praveer rai, Ram N Rao Gall Bladder Carcinoma with Ampullary Carcinoma: A Rare Case of Double Malignancy2013 Jan-Apr; 19(1)
  3. P.J.Shukla, S.G.Baretto, S.V.Shrikhande -Simultaneous gallbladder and bile duct cancers: revisiting the pathological possibilities HPB –Oxford 2008; 10(1): 48–53
  4. Srinivas Kodaganur, Ishwar R Hosamani-Synchronous malignancies of the gall bladder and common bile duct: a case report- 2016;14:106.World.J.Surg Oncology.

 

 

 

 









Policy for Articles with Open Access
Authors who publish with MedPulse International Journal of Anesthesiology (Print ISSN:2579-0900) (Online ISSN: 2636-4654) agree to the following terms:
Authors retain copyright and grant the journal right of first publication with the work simultaneously licensed under a Creative Commons Attribution License that allows others to share the work with an acknowledgement of the work's authorship and initial publication in this journal.
Authors are permitted and encouraged to post links to their work online (e.g., in institutional repositories or on their website) prior to and during the submission process, as it can lead to productive exchanges, as well as earlier and greater citation of published work.